Orçun ŞAHİN, 1 Ali HARMAN, 2 Rahmi Can AKGÜN, 1 İsmail Cengiz TUNCAY1

1Department of Orthopedics and Traumatology, Medical Faculty of Başkent University, Ankara, Turkey
2Department of Radiodiagnostics, Medical Faculty of Başkent University, Ankara, Turkey

Keywords: Computed tomography; injection; pain; sacroiliac

Abstract

Objectives: The aim of this study was to analyze the effectiveness of an injection of a computed tomography (CT)-guided intraarticular steroid and a local anesthetic for the treatment of sacroiliac joint (SIJ) pain over a two-year follow-up period.

Patients and methods: Between January 2009 and December 2011, a total of 46 patients (18 males, 28 females; mean age 52.7 years; range 41 to 65 years) with SIJ pain who were scheduled to undergo an injection with a CT-guided intraarticular steroid and a local anesthetic were included. After properly prepared, the mixture of triamcinolone acetonide 80 mg and bupivacaine hydrochloride 4 cc was injected under CT guidance. The pain was evaluated using the visual analog scale (VAS) before and after the injection. The clinical follow-up was performed the day after the injection as well as at one week, three weeks, and six months and in the last visit. The differences between the VAS scores before and after the injections were analyzed statistically.

Results: The mean follow-up was 26.7 months (range 24 to 36 months). Eight out of 46 patients (17.4%) needed a second injection. Five of them (10.8%) failed to show improvement during the follow-up after the intraarticular cortisone injection. The overall success rate of the SIJ injection was 89.2%. The differences between the VAS scores before the injection and at intervals of one day, one week, three weeks, and six months were significantly lower. This response remained significant after a minimum of two years of follow-up with a median VAS score of 20.5 (min-max: 0-87).

Conclusion: Sacroiliac joint injections under CT guidance are a sufficient treatment modality for pain and symptom control in patients suffering from pain due to active SIJ pathologies. They are safe and effective and can be used as an alternative treatment of choice for patients with long-term SIJ pain.

Introduction

The sacroiliac joint (SIJ) has been implicated as the primary source of pain in over 10% of cases with suspected SIJ pathologies requiring controlled comparative local anesthetic blocks based on criteria developed by the International Association for the Study of Pain (IASP).[1-3] The SIJ functions anatomically and biomechanically within the weightbearing system of the lumbosacral vertebrae, pelvis, and hip joints and shares the ligamentous structures and muscles for stability with the posterior pelvic ring.[4,5] These include the very strong interosseous ligaments as well as the iliolumbar, sacrotuberous, and sacrospinous ligaments. Additionally, recent studies have shown that neural innervations are detected not only in the joint capsule, but also in the posterior ligamentous tissues of the SIJ with the presence of nociceptors for pain.[5] As a result it has been widely accepted in the literature that the SIJ could be the source of low back pain that might require meticulous intervention and treatment.[6]

The etiology of SIJ pain varies and includes direct trauma, unidirectional pelvic shear, repetitive and torsional forces, rheumatologic inflammation, or idiopathic onset.[1,3,7] Although numerous treatment alternatives have been promoted to reduce the high morbidity associated with SIJ pain, much controversy still exists regarding their effectiveness.[8,9] Sacroiliac joint injection therapy is one of the available treatment options for patients with chronic SIJ pain, and this needs to be carefully evaluated with respect to its effectiveness for short- and long-term pain relief. Various studies have analyzed the efficacy of injection methods for SIJ pain relief.[1,3,4] These show that a wide range of guiding methods such as fluoroscopy, ultrasonography (USG), computed tomography (CT) and magnetic resonance imaging (MRI), have been used. These methods have included local anesthetic agents, especially those with longterm effects like bupivacaine, Although all were reported to be effective in the treatment of SIJ pain, the study populations and the follow-up periods differed, thus hindering the ability to evaluate the best treatment option.

In order to overcome this controversy, a homogenous study population with a single-needle technique injection must be prospectively evaluated with a long-term follow-up. Hence, the purpose of this study was to evaluate the effectiveness of CT-guided intraarticular steroid and local anesthetic injection for the treatment of patients with SIJ pain with two years of follow-up.

Patients and Methods

Study group
Between January 2009 and December 2011, all patients with SIJ pain who were scheduled to undergo CT-guided intraarticular steroid and local anesthetic injection were considered for this study. A presumptive diagnosis of SIJ pain was established on the basis of patient history, physical examination, laboratory findings, and characteristic radiological features (erosions, subchondral sclerosis with increased bony density and joint space narrowing),[10] and CT and MRI scans were undertaken if needed. Sacroiliac joint pain persisting for at least two months with a failed conservative treatment (failure to respond to nonsteroidal anti-inflammatory drug (NSAID) therapy for a period of four weeks) was accepted as the major indication for injection therapy.

Patients who fulfilled the criteria previously described by Murakami et al.[11] were accepted into the study group:

1. Laterally located pain over the SIJ line
2. Positive findings on at least one of the following three provocation tests for SIJ pain: (i) Gaenslen’s test in which the hip joint is flexed maximally on one side, and the opposite hip joint is extended, stressing both sacroiliac joints simultaneously),[12] (ii) Patrick’s test [flexion, abduction external rotation (FABERE) test,13] (iii) Newton’s test (thigh hyperflexion test),[14] a negative response to Kemp’s test,[15] one of the pain provocation tests for sciatica (Patient’s trunk rotates obliquely downward in the affected lumbosacral area. A positive response is obtained if the lower back pain radiates into the lower extremities).

3. No disorders in the hip joint
4. No signs of lumbar radiculopathy
5. No findings suspicious of infectious arthritis on the laboratory investigation or on plain radiographs

Patients who had previous pelvic or lumbosacral surgery or a previous fracture history regarding SIJ were exluded from the study group along with those with coxarthrosis or those with less than two years of follow-up. Patients with lumbar disc pathologies and spondyloarthopathies with no signs of radiculopathy and no radiating pain were not excluded from the study group as they had no radiating pain mimicking any SIJ pathologies.

During enrollment, 51 patients (22 males and 29 females) were found to be eligible. Written informed consent was obtained from all patients. Five patients were lost to follow-up; therefore, a total of 46 patients (18 males, 28 females) were evaluated for the final analysis.

Injection technique
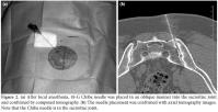
All injections were performed by one of the authors at an outpatient clinic according to the technique previously described by Bollow et al.[16] The patients were placed in a comfortable prone position on the CT table. After scouting the pelvis, the SIJs were scanned with a section thickness of 4 mm and a table advancement of 8 mm while being viewed in the bone window on a Somatom plus CT scanner (Siemens AG, Munich, Germany). The section position with the most suitable access to the synovial articular compartment[17] on both sides was set as the table position (Figure 1). After positioning the table, the definitive gluteal injection sites on one or both sides were indicated on the skin with a grease pencil, and the injection area was disinfected and draped with sterile cloths. After local anesthesia (10 ml of 2% lidocaine per joint), the Chiba needle tip (1.2 mm diameter=18 gauge, 50 to 100 mm length; Angiomed Germany, Karlsruhe, Germany) was positioned in the articular cavity and controlled by CT (Figure 2a, b). Then the joint space was confirmed by at least 3 mls of nonionic contrast medium (Ioversol, Optiray, Covidien, Mansfield, MA, USA) injection (Figure 3). Finally, 0.5 ml of 10% hypertonic saline was injected into the space for the pain provocation test. This test was considered positive when it provoked the same pain as the patient’s symptoms.[11] After the provocation test, a mixture of long-term corticosteroid (80 mg triamcinolone acetonide, Sinokort-A, IE, İstanbul, Turkey) and local anesthetic (4 cc levobupivocaine hydrochoride, Chirocaine, Abbott Laboratories, Abbott Park, Illinois USA) was injected, and the injection site was closed. After injection, no additional medications, including anti-inflammatory drugs, were prescribed for any patients in order to prevent any bias of pain evaluation. The patients were strictly informed about the clinical follow-up period and meticulously controlled.

Clinical evaluations and statistical analyses
All clinical assessments were done by one investigator. To evaluate pain before and after injection, the visual analog scale (VAS) was used,[18] which consisted of a 100 mm horizontal line anchored at one end with the words “no pain” and at the other end with the words “worst pain imaginable”. The research assistant asked the patient to mark the line at the point that best represented the intensity of his or her pain. The VAS numeric value was the distance in millimeters from “no pain” to the point marked by the patient.[18] The clinical follow-up with VAS scores was performed the day after the injection as well as one week, three weeks, and six months afterwards and at the final control. As a result, a total of six VAS scores were recorded for each patient.

The effectiveness of the injection was analyzed by the VAS scores, and the threshold level was determined as 50 since it is the midpoint of the pain scale.[19] Therefore, if the VAS score was below 50, the injection was accepted as ”successful”. The patients who had a score of greater than 50 points the day after the initial intraarticular injection immediately received another one. The effect of this additional injection was also evaluated in the same manner as described above. For all patients, their pre-injection VAS scores were accepted as the scores before any injections performed, and for those who received second injections, the VAS scores after the first injection were discarded in order to not influence the final outcome.

Two types of statistical analyses were performed for this study. Distributions of the variables were controlled by the Shapiro-Wilk test, and they were not normal. For this reason, the median VAS scores before and after the injections were compared using Friedman’s test, and then multiple comparisons between pairs of VAS scores were carried out according to the Bonferroni/Dunn test. Results were expressed as number of observation (n), median VAS scores with minimum-maximum values, and interquartile range (IQR). All calculations were performed using the SPSS 17.0 software package (SPSS Inc., Chicago, Illinois, USA), and the significance level was set at p<0.05 with a 95% confidence interval (CI).

Results

The mean overall length of follow-up was 26.7 months (range 24-36 months), and the mean age of the participants was 52.7 years (range 41-65 years) at the time of index injection. There were five bilateral injections. Eight out of the 46 patients (17.4%) needed a second injection due to having VAS scores greater than 50. The median VAS score of these patients was 65 (min-max: 55-93, IQR: 21.50) the day after the injection. There were no intra- or post-injection complications such as bleeding, sensorimotor disorders, hematomas, septic sacroilitis, articular abscesses, or osteomyelitis recorded in the follow-up period.

Five patients (10.8%) failed to show an improvement during follow-up after the intraarticular cortisone injection. Although these patients emphasized that their pain decreased after the injection therapy, they declared that complete relief was not established, and their VAS scores were still greater than 50. Therefore, the overall success rate of the SIJ injection was 89.2%. On the day before the intervention, the median VAS score was determined to be 89.5 (min-max: 80-100, IQR: 12.25). This median score decreased to 17 (minmax: 0-93, IQR: 24) after the first day of the injection and remained low at 19.5 (min-max: 0-87, IQR: 28.25) in the first weeks following the intervention. The median VAS scores after three weeks and six months were 22 (min-max: 0-92, IQR: 27.75) and 23 (min-max: 0-85, IQR: 27.25), respectively (Figure 4). Friedman’s test revealed a significant difference between the VAS scores before and after injections, demonstrating the beneficial therapeutic effect of the injection (p≤0.05; Table 1). Multiple comparisons between preinjection and the first day, first week, third week and sixth month VAS scores using the Bonferroni/Dunn test showed a significant decrease in the pain scale. This therapeutic response remained significant after a minimum of two years of follow-up with a median VAS score of 20.5 (min-max: 0-87, IQR: 25.5) and a success rate of 69.5% (32 out of 46 patients).

Discussion

For patients that do not respond to conservative treatment and for those with severe SIJ pain that prevents routine social activities, treatment alternatives, including invasive procedures, must be kept in mind. The first line of therapy, NSAIDs, are often not sufficient for disease control or, in some cases, cannot be applied for a prolonged period of time due to gastrointestinal and cardiovascular side effects.[20] As a result, in recent years, intraarticular steroid injections have become more popular.[1,3,11,21] Hence, in our study, we tried to investigate the effectiveness of a single-needle technique steroid injection under the guidance of CT with a minimum of two years of follow-up.

To investigate the effects of injection therapy for SIJ pain in a systematic review, it should be realized that the content of this treatment method shows a large degree of variation. The same holds for daily clinical practice, which underlines the need to make clinically valid comparisons of injection therapy interventions.

Indication and patient selection
The first source of variation in the content of injection therapy is the selection of patients and study groups. Various studies have analyzed the effectiveness of SIJ injection in heterogeneous study groups.[11,22,23] The indication for injection and inclusion criteria in these studies was not very clear, preventing any comparative analysis. To clarify indication and define the study group, some provocative tests have been described in the literature.[3,4,24] One of the most controversial topics is the usage of these tests and the source of the pain. It is generally accepted that SIJ pain usually confuses with radiating lumbosacral pain since there is no specific diagnostic test for SIJ pain.[25,26] Luukkainen et al.[27] used criteria comprised of the region of the pain, tenderness in the SIJ, and positive results on at least one of three provocation tests: Gaenslen’s test, Patrick’s test, or Newton’s test. In more recent studies, it was also indicated that three or more positive provocation tests involving distraction, compression, thigh thrust, and Patrick’s and Gaenslen’s tests were indicative of SIJ pain.[11] Nevertheless, to confirm the exact source of the pain, the gold standard method is still accepted as the intraarticular stimulation of pain via injection including 10% hypertonic saline, 0.9 normal saline solutions, or any radiologic contrast material.[26,28] To overcome any controversy, our study clearly defined the indication for injection and meticulously controlled the inclusion criteria for the study population which had previously been published by Murakami et al.[11] Provocative injections were performed under CT guidance in our outpatient clinics, and the steroid injections were only given after the provocation was considered positive. In their study, Murakami et al.[11] reported that the area of pain and provocative tests are extremely important for the indication of SIJ injection. We also used the same tests and criteria. For all of our patients, apart from clinical provocative tests, we also performed an intraarticular 0.5 ml of 10% hypertonic saline injection for pain stimulation prior to steroid application. In this way, we managed to prevent any bias of lumbosacral pain and had a comparable and homogenous study group.

Injection technique
The second variation that must be discussed is the injection technique. There are several studies in the literature that describe different techniques and use various radiological guidance methods, including fluoroscopy, ultrasonography (USG), and CT.[16,29,30] It is commonly accepted that “blind” injections without any radiological guidance are unreliable as the SIJ is difficult to enter this way due to its complex configuration and different anatomic variations. Rosenberg et al.[31] showed that only 22% of SIJ injections done without imaging guidance were actually placed intraarticularly. Although it has been generally accepted that inserting a needle into the SIJ space can be done safely and reliably under fluoroscopic guidance without special manual skills,[27,32] for general orthopedic or even spinal surgeons, the intraarticular injection may be difficult as many are not familiar with this procedure, and the SIJ of elderly patients is mostly sclerosed.[11] In addition, the risk for anatomic variations and complex integrity also make it difficult to establish a complete view of the SIJ under fluoroscopic guidance.[33] It is curved, and the posterior aspect of the joint is located medially as compared with the anterior aspect of the joint which is positioned relatively more laterally. The obliquity of the fluoroscopy tube in a medial or lateral direction may give the impression that the joint is well aligned, leading to missed joint injections.[22] For these reasons, in recent years, USG- or CT-guided injection techniques have started to gain popularity.

Ultrasonography is highly dependent on the physician and has limitations, especially with obese patients. It also presents limited visualization of the neurovascular structures.[34] On the other hand, CT-guided injection has none of these diadvantages. Under CT guidance, instruments can be precisely placed within the target region, and a controlled lesion can be caused. This is essential not only for the therapy outcome, but also for the protection of nearby vessels and other neural structures.[23,35] In the literature, it has been reported that CT guidance is essential for the effectiveness and safety of interventional procedures, especially in complicated structures such as the SIJ.[23,35,36] As a result, in our study, we preferred CT for injection guidance. Using this method, we had no injection-related complications, no neurovascular iatrogenic injuries, and no missed injections.

Clinical outcomes
The third variation in the literature regarding SIJ injections concerns the clinical outcomes and their measures. There have been numerous studies concerning SIJ pain and its treatment alternatives.[3,11,20,27,30] Nevertheless, the best treatment method is still a matter for debate, and the data about the long-term clinical benefits of SIJ injections is scare and inconclusive. Several investigators have found that SIJ structures are one of the most commonly encountered sources of low back pain, and therapeutic injections are the only standard means of treatment.[33,37] Currently, image-guided diagnostic blocks and clinical pain provocation tests seem to be the only way for confirming the sacroiliac origin of pain. Due to the complex anatomy, SIJ injections have a very low success rate of 12–20% when performed using only clinical judgement.[21,38,39] In addition, radiological imaging as a guidance method has been recently applied to place the needle into the SIJ space. An increasing success rate with regard to the correct positioning of the needle starting from 60% at the first 30 injections and improving to 93.5% with the last 30 injections has been demonstrated, but the therapeutic efficacy or clinical outcome of this intervention has not been evaluated.[40] Maldjian et al.[41] reported that image-guided injection of steroid compounds into the SIJ could give beneficial and long-lasting results. This is comparable to our previous experience and the data determined from the present study. In another study by Gevargez et al.,[23] only three out of 38 patients did not respond to injection treatment of SIJ pain. In our study, we had comparable results. After meticulous needle placement by CT guidance, we provocated pain at the SIJ and applied the therapeutic injection. With this technique, we managed to reach an 80% overall success rate after six months of follow-up. This rate remained higher than 50% (69.5%) after a minimum of two years of follow-up. Apart from needle placement, we believe that proper patient selection was also a positive factor for these success rates.

Sacroiliac joint pain and the effect of corticosteroids
In the literature, the role of the SIJ in the symptomatology of pain in the lower back, the pelvis, and the lower extremities is not exactly clear.[10] Up until now, one of the major limitations of current studies and published treatment results was the lack of valid diagnostic standards for SIJ pain and scarce knowledge about its pathophysiological behavior in pain generation.[2,3,7,10]

Various recent publications,[16,17,23,26] and numerous anatomic and clinical papers have shown that the SIJ is thoroughly innervated on the ventral side from L3 to S2 spinal nerves and on the dorsal side from S1 and S2,[37] and the presence of nerves in SIJ tissues makes the joint likely to be a source of lower back pain when exposed to abnormal loading, excessive movements, and inflammation. Several investigators have also found excessive sensory innervations in the ligamentous SIJ structures.[10,23] As a result, it was concluded that the SIJ could be a source of low back pain that occasionally radiates into the buttocks or even into the lower leg on the involved side. Those findings may also explain the similarity of the pain from the SIJ to that attributed to lumbosacral disorders. For this reason, in our study, we tried to only perform injections for those patients with pain generating solely from the SIJ. Patients with any signs of pain originating from other systems were excluded from the study group. Nevertheless, with recent publications, it is generally accepted that apart from its anatomic interactions, the most definitive way to find out the source of pain is to make a provocative injection into the SIJ.[3] Hence, in our study, in order to overcome the controversy about the origin of the pain, we made provocative injections before corticosteroid and local anesthetic injections, thus completely confirming the origin of pain from the SIJ.

The effect of corticosteroids and local anesthetics is also a matter of debate with regard to pain relief. Most articles and clinicians find joint injections of corticosterioids to be helpful for both diagnostic and therapeutic purposes of pain relief.[16,19,22,34] They are used commonly in outpatient clinics for both orthopedic and physical treatment. It has also been commonly reported that the pain reduction and functional improvement after therapeutic injections of the SIJ often is quite significant.[21,26] The reason for this improvement is believed to be mostly dependent on the long-term anti-inf lammatory effects of steroids, including the prevention of synthesis of pain-generating molecules. For this reason, we used one of the most long-term effective steroid molecules, triamcinolone acetonide and believe that this allowed for up to two years of pain relief to be established in our study group. Although true intraarticular steroid injections are most effective, these injections should be considered only as a part of a comprehensive treatment, and they should be performed in conjunction with activity modification, joint mobilization, therapeutic exercise, and medical management, if needed.

In conclusion, our results demonstrate that although intraarticular SIJ injections under CT guidance are a technically demanding procedure, the deposition of triamcinolone appears sufficient for pain and symptom control in patients suffering from pain due to active SIJ pathologies. It is safe and effective and can be used as a treatment alternative for patients with long-term SIJ pain. Controlled, randomized investigations with a greater sample size over a longer period of time are necessary to judge this technique more closely in future studies.

Declaration of conflicting interests
The authors declared no conflicts of interest with respect to the authorship and/or publication of this article.

Funding
The authors received no financial support for the research and/or authorship of this article.

References

  1. Cohen SP. Sacroiliac joint pain: a comprehensive review of anatomy, diagnosis, and treatment. Anesth Analg 2005;101:1440-53.
  2. Gur A, Nas K, Çevik R, Erdoğan F, Saraç J. Etiological assessment of our chronic low back pain patient. Turk J Rheumatol 2000;15:191-8.
  3. Hansen HC, McKenzie-Brown AM, Cohen SP, Swicegood JR, Colson JD, Manchikanti L. Sacroiliac joint interventions: a systematic review. Pain Physician 2007;10:165-84.
  4. McKenzie-Brown AM, Shah RV, Sehgal N, Everett CR. A systematic review of sacroiliac joint interventions. Pain Physician 2005;8:115-25.
  5. Sakamoto N, Yamashita T, Takebayashi T, Sekine M, Ishii S. An electrophysiologic study of mechanoreceptors in the sacroiliac joint and adjacent tissues. Spine (Phila Pa 1976) 2001;26:E468-71.
  6. Bowen V, Cassidy JD. Macroscopic and microscopic anatomy of the sacroiliac joint from embryonic life until the eighth decade. Spine (Phila Pa 1976) 1981;6:620-8.
  7. Hansen HC, Helm S 2nd. Sacroiliac joint pain and dysfunction. Pain Physician 2003;6:179-89.
  8. Airaksinen O, Brox JI, Cedraschi C, Hildebrandt J, Klaber-Moffett J, Kovacs F, et al. Chapter 4. European guidelines for the management of chronic nonspecific low back pain. Eur Spine J 2006;15 Suppl 2:S192-300.
  9. Çevik R, Nas K, Gür A, Özateş M, Ataoğlu S, Erdoğan F, et al. Comparision Of Imaging Techniques In The Early Diagnosis Of Sacroiliitis. Turk J Rheumatol 2000;15:99-104.
  10. Foley BS, Buschbacher RM. Sacroiliac joint pain: anatomy, biomechanics, diagnosis, and treatment. Am J Phys Med Rehabil 2006;85:997-1006.
  11. Murakami E, Tanaka Y, Aizawa T, Ishizuka M, Kokubun S. Effect of periarticular and intraarticular lidocaine injections for sacroiliac joint pain: prospective comparative study. J Orthop Sci 2007;12:274-80.
  12. Gaenslen, F. Sacro-iliac arthrodesis: Indications, author’s technic and end-results. JAMA 1927;89:2031-5.
  13. Patrick, H. Brachial neuritis and sciatica. JAMA 1917;69:2176-9.
  14. Thompson M, Newton DR, Grainger RG. Discussion of the clinical and radiological aspects of sacro-iliac disease. Proc R Soc Med 1957;50:847-58.
  15. Kemp A. A new symptom of intervertebral disk hernia. Ned Tijdschr Geneeskd 1950;94:1750-5. [Abstract]
  16. Bollow M, Braun J, Taupitz M, Häberle J, Reibhauer BH, Paris S, et al. CT-guided intraarticular corticosteroid injection into the sacroiliac joints in patients with spondyloarthropathy: indication and follow-up with contrast-enhanced MRI. J Comput Assist Tomogr 1996;20:512-21.
  17. Bollow M, Braun J, Hamm B, Eggens U, Schilling A, König H, et al. Early sacroiliitis in patients with spondyloarthropathy: evaluation with dynamic gadolinium-enhanced MR imaging. Radiology 1995;194:529-36.
  18. Bodian CA, Freedman G, Hossain S, Eisenkraft JB, Beilin Y. The visual analog scale for pain: clinical significance in postoperative patients. Anesthesiology 2001;95:1356-61.
  19. Karaeminoğullari O, Sahin O, Boyvat F, Akgün RC, Gürün U, Demirörs H, et al. Transforaminal epidural steroid injection under computed tomography guidance in relieving lumbosacral radicular pain. [Article in Turkish] Acta Orthop Traumatol Turc 2005;39:416-20.
  20. Schwarzer AC, Aprill CN, Bogduk N. The sacroiliac joint in chronic low back pain. Spine (Phila Pa 1976) 1995;20:31-7.
  21. Slipman CW, Lipetz JS, Plastaras CT, Jackson HB, Vresilovic EJ, Lenrow DA, et al. Fluoroscopically guided therapeutic sacroiliac joint injections for sacroiliac joint syndrome. Am J Phys Med Rehabil 2001;80:425-32.
  22. Dussault RG, Kaplan PA, Anderson MW. Fluoroscopyguided sacroiliac joint injections. Radiology 2000;214:273-7.
  23. Gevargez A, Groenemeyer D, Schirp S, Braun M. CT-guided percutaneous radiofrequency denervation of the sacroiliac joint. Eur Radiol 2002;12:1360-5.
  24. Staal JB, de Bie R, de Vet HC, Hildebrandt J, Nelemans P. Injection therapy for subacute and chronic low-back pain. Cochrane Database Syst Rev 2008;CD001824.
  25. Laslett M, Aprill CN, McDonald B, Young SB. Diagnosis of sacroiliac joint pain: validity of individual provocation tests and composites of tests. Man Ther 2005;10:207-18.
  26. Maigne JY, Aivaliklis A, Pfefer F. Results of sacroiliac joint double block and value of sacroiliac pain provocation tests in 54 patients with low back pain. Spine (Phila Pa 1976) 1996;21:1889-92.
  27. Luukkainen RK, Wennerstrand PV, Kautiainen HH, Sanila MT, Asikainen EL. Efficacy of periarticular corticosteroid treatment of the sacroiliac joint in nonspondylarthropathic patients with chronic low back pain in the region of the sacroiliac joint. Clin Exp Rheumatol 2002;20:52-4.
  28. van der Wurff P, Buijs EJ, Groen GJ. A multitest regimen of pain provocation tests as an aid to reduce unnecessary minimally invasive sacroiliac joint procedures. Arch Phys Med Rehabil 2006;87:10-4.
  29. Braun J, Bollow M, Seyrekbasan F, Häberle HJ, Eggens U, Mertz A, et al. Computed tomography guided corticosteroid injection of the sacroiliac joint in patients with spondyloarthropathy with sacroiliitis: clinical outcome and followup by dynamic magnetic resonance imaging. J Rheumatol 1996;23:659-64.
  30. Silbergleit R, Mehta BA, Sanders WP, Talati SJ. Imaging-guided injection techniques with fluoroscopy and CT for spinal pain management. Radiographics 2001;21:927-39.
  31. Rosenberg JM, Quint TJ, de Rosayro AM. Computerized tomographic localization of clinically-guided sacroiliac joint injections. Clin J Pain 2000;16:18-21.
  32. Dreyfuss P, Michaelsen M, Pauza K, McLarty J, Bogduk N. The value of medical history and physical examination in diagnosing sacroiliac joint pain. Spine (Phila Pa 1976) 1996;21:2594-602.
  33. Ebraheim NA, Xu R, Nadaud M, Huntoon M, Yeasting R. Sacroiliac joint injection: a cadaveric study. Am J Orthop (Belle Mead NJ) 1997;26:338-41.
  34. Harmon D, O’Sullivan M. Ultrasound-guided sacroiliac joint injection technique. Pain Physician 2008;11:543-7.
  35. Gevargez A, Groenemeyer DW, Czerwinski F. CT-guided percutaneous laser disc decompression with Ceralas D, a diode laser with 980-nm wavelength and 200-microm fiber optics. Eur Radiol 2000;10:1239-41.
  36. Kloeppel R, Weisse T, Deckert F, Wilke W, Pecher S. CT-guided intervention using a patient laser marker system. Eur Radiol 2000;10:1010-4.
  37. Fortin JD, Kissling RO, O’Connor BL, Vilensky JA. Sacroiliac joint innervation and pain. Am J Orthop (Belle Mead NJ) 1999;28:687-90.
  38. Daum WJ. The sacroiliac joint: an underappreciated pain generator. Am J Orthop (Belle Mead NJ) 1995; 24:475-8.
  39. Slipman CW, Whyte WS 2nd, Chow DW, Chou L, Lenrow D, Ellen M. Sacroiliac joint syndrome. Pain Physician 2001;4:143-52.
  40. Swezey RL. The sacroiliac joint. Nothing is sacred. Phys Med Rehabil Clin N Am 1998;9:515-9.
  41. Maldjian C, Mesgarzadeh M, Tehranzadeh J. Diagnostic and therapeutic features of facet and sacroiliac joint injection. Anatomy, pathophysiology, and technique. Radiol Clin North Am 1998;36:497-508.