A life-threatening manifestation of granulomatosis with polyangiitis: Subglottic stenosis
Tuba Yuce Inel1
, Sadettin Uslu2
1Clinic Rheumatology, İzmir City Hospital, İzmir, Türkiye
2Department of Internal Medicine, Division of Rheumatology, Celal Bayar University Faculty of Medicine, Manisa, Türkiye
Introduction
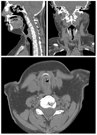
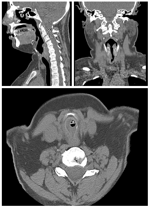
A 37-year-old female patient presented with symptoms of eye swelling, redness, protrusion, and shortness of breath. During examination, she had biphasic stridor, no edema in the nasal mucosa, and no saddle nose deformity. Elevated acute phase reactants and normocytic anemia were observed. Urine microscopy findings were normal, proteinuria was not detected, and immunological tests showed positive p-ANCA (perinuclear antineutrophil cytoplasmic antibody). Thorax computed tomography (CT) revealed stenosis below the cricoid cartilage and millimetrically small lymph nodes at this level, while no pathology was observed in the lung parenchyma. The biopsy results indicate the presence of inflammatory infiltration and edema in the submucosal layer, where a significant number of lymphocytes and neutrophils were observed. However, there was no evidence of granulomatous reaction. The patient was diagnosed with limited granulomatosis with polyangiitis (GPA), formerly called Wegener’s granulomatosis, based on clinical and laboratory findings and was treated with methylprednisolone and azathioprine. When dyspnea complaints increased, rituximab was started. The control neck CT revealed progression of stenosis in the subglottic region and increased concentric wall thickness, with the narrowest air column measured at 6 mm (Figure 1). During rigid bronchoscopy, the patient experienced respiratory arrest and required an emergency tracheostomy. A written informed consent was obtained from the patient.
Approximately 10 to 15% of patients with GPA develop subglottic stenosis (SGS), which should be considered in young patients with sinonasal involvement.[1-3] Patients often report hoarseness, difficulty breathing during physical activity, and increasing stridor. In the subglottic region, fragile mucosa, ulcers, or granulation tissue may cause narrowing. Biopsies taken from patients with disease limited to the ear, nose, and throat show nonspecific inflammation rather than a granulomatous reaction.[4] GPA-SGS is generally independent of the disease activity. Interventional procedures such as steroid injection, endoscopic balloon dilatation, carbon dioxide laser, stent, and resection-anastomosis and immunosupressive agents such as steroid, methotrexate, azathioprine, mycophenolate mofetil, cyclophosphamide, and rituximab are among the treatment options.[3] Approximately 40% of patients with GPA-SGS require tracheotomy as part of disease treatment.[5] It is necessary to diagnose and treat SGS at an early stage in patients with GPA as it is associated with a high risk of morbidity.
Citation: Yuce Inel T, Uslu S. A life-threatening manifestation of granulomatosis with polyangiitis: Subglottic stenosis. Arch Rheumatol 2024;39(4):683-684. doi: 10.46497/ArchRheumatol.2024.10777.
Idea/concept, materials: T.Y.I.; Design, control/supervision, data collection and/or processing, analysis and/or interpretation, writing the article, critical review, references and fundings, other: T.Y.I., S.U.; Literature review: S.U.
The authors declared no conflicts of interest with respect to the authorship and/or publication of this article.
The authors received no financial support for the research and/or authorship of this article.
The data that support the findings of this study are available from the corresponding author upon reasonable request.
References
- Quinn KA, Gelbard A, Sibley C, Sirajuddin A, Ferrada MA, Chen M, et al. Subglottic stenosis and endobronchial disease in granulomatosis with polyangiitis. Rheumatology (Oxford) 2019;58:2203- 11. doi: 10.1093/rheumatology/kez217. DOI: 10.1093/rheumatology/kez217
- Kronbichler A, Bajema IM, Bruchfeld A, Mastroianni Kirsztajn G, Stone JH. Diagnosis and management of ANCA-associated vasculitis. Lancet 2024;403:683- 98. doi: 10.1016/S0140-6736(23)01736-1. DOI: 10.1016/S0140-6736(23)01736-1
- Girard C, Charles P, Terrier B, Bussonne G, Cohen P, Pagnoux C, et al. Tracheobronchial stenoses in granulomatosis with polyangiitis (Wegener's): A report on 26 cases. Medicine (Baltimore) 2015;94:e1088. doi: 10.1097/MD.0000000000001088. DOI: 10.1097/MD.0000000000001088
- Holle JU, Gross WL, Holl-Ulrich K, Ambrosch P, Noelle B, Both M, et al. Prospective long-term followup of patients with localised Wegener's granulomatosis: Does it occur as persistent disease stage? Ann Rheum Dis 2010;69:1934-9. doi: 10.1136/ard.2010.130203. DOI: 10.1136/ard.2010.130203
- Taylor SC, Clayburgh DR, Rosenbaum JT, Schindler JS. Clinical manifestations and treatment of idiopathic and Wegener granulomatosis-associated subglottic stenosis. JAMA Otolaryngol Head Neck Surg 2013;139:76-81. doi: 10.1001/jamaoto.2013.1135. DOI: 10.1001/jamaoto.2013.1135