Association of medial longitudinal arch height and stiffness with lower extremity alignment, pain, and disease severity in knee osteoarthritis: A cross-sectional study
Levent Karataş
, Ayça Utkan Karasu
Department of Physical Medicine and Rehabilitation, Gazi University Faculty of Medicine, Ankara, Türkiye
Keywords: Arch height index, arch stiffness, knee, medial longitudinal arch, osteoarthritis.
Abstract
Objectives: This study aimed to investigate the association of medial longitudinal arch (MLA) height and stiffness with lower extremity alignment, pain, and disease severity in patients with knee osteoarthritis (OA).
Patients and methods: This cross-sectional study included 90 patients (75 females, 15 males; mean age: 63.6±9.4 years; range, 50 to 90 years) diagnosed with knee OA according to the American College of Rheumatology criteria between December 2022 and June 2024. Medial longitudinal arch height and stiffness were assessed using the arch height index (AHI) method in both sitting and standing positions. The arch stiffness index (ASI) was calculated. The OA-related clinical outcomes included pain severity (numeric rating scale), Western Ontario and McMaster Universities Osteoarthritis Index scores, Kellgren-Lawrence grade, and tibiofemoral angles. Associations between MLA characteristics and OA parameters were examined.
Results: Low and high arch rates were 10% and 16%, respectively. No significant differences in OA clinical and radiological parameters were observed across different MLA types. Within-patient comparisons showed higher MLA height in the extremity with greater knee pain and more advanced OA. Correlation analyses indicated that increased ASI was associated with higher arch height and knee varus angles, suggesting a biomechanical interplay between MLA structure and knee joint alignment in advanced OA patients. In the early OA group, ASI was negatively correlated with knee pain severity.
Conclusion: A higher medial arch and increased midfoot stiffness were associated with knee pain, radiological severity, and knee varus in patients with OA. These findings support the complex relationship between the foot arch structure and knee OA through the perspective of the lower extremity kinematic chain.
Introduction
The foot plays a crucial role in lower extremity alignment, facilitating interaction between the body and the ground during gait and postural control. Variations in foot morphology, such as flat feet (pes planus) and high arches (pes cavus), can significantly impact lower extremity alignment and function, potentially leading to overpronation or supination and affecting gait mechanics and stability.[1] The growing interest in understanding the kinetics and kinematic chain of the lower extremities has sparked curiosity about the relationship between foot morphology and knee joint pathologies, prompting further investigation into cause-and-effect dynamics.[2,3] Current research indicates several significant findings regarding the relationship between foot posture and knee pathologies. Young adults experiencing anterior knee pain tend to have pes planus more often than those without knee pain.[4] Adolescents with increased heel valgus and low medial arch show a higher quadriceps angle, suggesting an elevated risk of patellar subluxation.[5] Previous studies have suggested that one-third to one-half of knee OA patients have a pronated foot posture.[6,7] Additionally, individuals diagnosed with medial compartment knee osteoarthritis (OA) tend to exhibit a more pronated foot posture compared to healthy controls.[8,9] However, studies on the link between foot morphology and OA-related clinical outcomes are lacking. Gross et al.[10] proposed that pes planus is associated with increased pain intensity and medial tibiofemoral cartilage loss in elderly patients. Similarly, Iijima et al.[11] demonstrated that bilateral pes planus serves as an independent predictor of pain intensity in knee OA. Moreover, insoles with lateral wedge modifications have been shown to reduce the knee adduction moment by altering ankle and tibia alignment during walking.[12] Despite the biomechanical associations observed, the existing evidence concerning the efficacy of footwear interventions, including lateral wedge and arch-support insoles, remains insufficient in elucidating their impact on pain management and functional improvement among individuals afflicted with knee OA.[13-15]
Previous studies have utilized various methods, including the foot posture index or footprint analysis, for assessing foot arch and mid-foot morphology.[16] Despite their widespread utilization, the semiquantitative nature of the foot posture index, which mainly relies on inspection across multiple planes, introduces subjectivity and potential variability in interpretation by practitioners.[17] Similarly, approaches grounded in footprint analysis, such as the Staheli index, may be influenced by various factors, including subcutaneous fat tissue in the foot sole.[18,19] In contrast, the arch height index (AHI) emerges as a noteworthy anthropometric measure, calculated by dividing foot dorsum height by trimmed foot length, thereby providing a quantitative evaluation of the MLA structure.[20,21] The AHI method remains unaffected by plantar fat tissue distribution with its proven validity and reliability. Moreover, it enables precise assessment of the MLA stiffness index under diverse load-bearing conditions.[22] A healthy MLA should maintain a delicate equilibrium between physiological flexibility during load-bearing and sufficient stiffness during push-off phases throughout the gait cycle.[22] The complex relationships between flexibility and height of MLA have been documented in asymptomatic individuals.[23,24] An excessively mobile MLA has been associated with heightened rotational tibial movement, inducing abnormal moments in the knee joint.[25,26] Conversely, a stiffer MLA may exacerbate knee discomfort by impeding adequate shock absorption of the foot during walking.[27] The few studies examining the relationship between MLA morphology evaluated by the AHI method and knee pathologies have been conducted in young adults and athletes with patellofemoral pain.[28] Nonetheless, a gap in the literature is evident, as no study has specifically investigated MLA stiffness using the AHI method in patients with knee OA. Therefore, this study aimed to explore the impact of MLA height and stiffness, assessed using the AHI method, on knee pain, functionality, disease severity, and knee joint alignment in individuals diagnosed with knee OA.
Patients and Methods
This cross-sectional study was conducted in the outpatient clinic of the Gazi University Faculty of Medicine between December 2022 and June 2024. Ninety consecutive patients (75 females, 15 males; mean age: 63.6±9.4 years; range, 50 to 90 years) diagnosed with knee OA according to the American College of Rheumatology criteria were included in the study. A written informed consent was obtained from each patient. The study protocol was approved by the Gazi University Clinical Research Ethics Committee (date: 16.05.2022, no: 2022-367). It is registered in the clinical trials database under the number NCT05656014. The study was conducted in accordance with the principles of the Declaration of Helsinki. The exclusion criteria were as follows: (i) history of lower extremity fracture or surgery, (ii) presence of other rheumatological diseases, (iii) intra-articular knee injections or pain management procedures within the last six months, (iv) neurological disorders affecting the lower extremity, (v) other painful conditions of lower extremity, and (vi) conditions, such as lower extremity edema, that could impede accurate measurement of AHI. All measurements for each patient were conducted on the same visit.
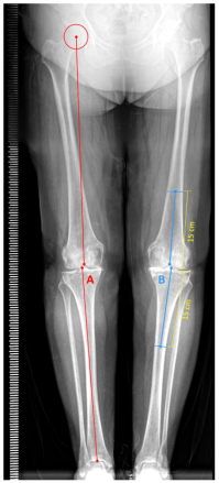
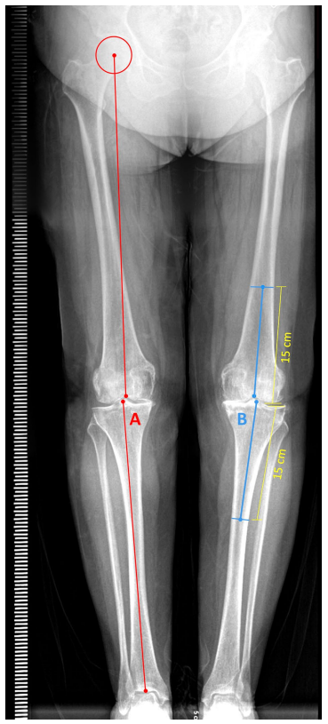
The patients' age, height, weight, and body mass index were recorded. Lower extremity dominance was determined by the ball-kicking test.[29] Clinical data related to knee OA included the duration and severity of knee pain (measured via numeric rating scale [NRS]), scores from the Western Ontario and McMaster Universities Osteoarthritis Index (WOMAC) for pain, joint stiffness, and function, as well as goniometric measurements of knee joint range of motion. Radiological assessments comprised the Kellgren-Lawrence knee OA stage and knee joint alignment, represented by the anatomical and mechanical tibiofemoral angles on standing anteroposterior full-limb radiographs. Knees were categorized by tibiofemoral joint degeneration into minimal-to-mild OA (Kellgren-Lawrence Grades 1 and 2) and moderate-to-severe OA (Kellgren-Lawrence Grades 3 and 4). Radiographic imaging was conducted with the knee in full extension. The foot and lower leg were positioned with the patella oriented anteriorly to ensure optimal centralization of the intercondylar notch, tibial intercondylar eminence, and tibial plafond. The mechanical tibiofemoral angle (TFA) was determined by measuring the angle between the mechanical axes of the tibia (the line between the center of the tibial intercondylar eminence and the midpoint of the tibial plafond) and femur (the line between the center of the femoral head and the midpoint of the intercondylar notch of femur; Figure 1).[30,31] The anatomical TFA was assessed by measuring the angle from the intersection of the anatomical axis lines drawn on the distal femur and proximal tibia (Figure 1). The anatomical axis of the distal femur was determined by a line drawn between the intercondylar notch and the midpoint on the diaphysis, located 15 cm from the lowest surface of the lateral femoral condyle. Similarly, the anatomical axis of the proximal tibia was defined by a line connecting the center of the tibial intercondylar eminence to the midpoint on the diaphysis, situated 15 cm from the uppermost surface of the lateral tibial plateau. In healthy individuals, the anatomical TFA ranges between 4° and 6°. Typically, the mechanical TFA is approximately 6° lower than the anatomical TFA.[30] Lower or negative tibiofemoral angles indicate knee varus.[31]
The evaluation of the MLA structure was conducted utilizing the AHI method, which relies on the measurement of foot length and dorsum height using a sliding caliper apparatus (Figure 2). The initial step involved the determination of the total foot length, characterized as the distance extending from the heel ball's rearmost point to the toes' foremost point. Subsequently, the truncated foot length was ascertained, denoting the distance from the rearmost point of the heel to the medial bulge of the first metatarsophalangeal joint. Foot dorsum height was then quantified as the vertical distance between the ground and the foot dorsum at the midpoint of the total foot length. The AHI was subsequently computed as the quotient of dorsum height to the truncated foot length.[21]
Arch height index measurements were conducted in two distinct weight-bearing positions: sitting and standing. Arch height index during sitting (AHIsit) was assessed with the patient seated on an adjustable chair, with hips and knees flexed at 90°, the back reclined, and both feet resting calmly on the ground. In this position, each foot was assumed to bear approximately 10% of the body weight.[32] The AHI measurement in standing position (AHIstand) was conducted during a relaxed, upright bipedal posture, wherein each foot bore an equitable distribution of approximately 50% of the body weight. Consequently, the arch stiffness index (ASI) was calculated using this formula: ASI= (AHIsit-AHIstand)/(0.4 × body weight). Higher ASI values represented a stiffer MLA structure. Medial longitudinal arch structures were classified into three categories: low arch, normal arch, and high arch, delineated by AHIstand results falling below 0.31, between 0.31 and 0.37, and above 0.37, respectively.[33]
Statistical analysis
It was planned to include at least 82 participants to detect the correlation between knee pain and the AHI, with an effect size of 0.3, 80% power, and a 5% margin of error.
Data were analyzed using IBM SPSS version 27.0 software (IBM Corp., Armonk, NY, USA). Fisher exact test was employed to compare frequencies. Median with interquartile range and mean ± standard deviation (SD) were used to report ordinal and continuous variables, respectively. Normality was assessed for continuous variables using the KolmogorovSmirnov and Shapiro-Wilk tests. The more symptomatic side determined by the WOMAC score was considered when comparing patients. If knee OA symptoms were symmetrical, the dominant lower extremity was analyzed. Comparisons within three MLA groups were performed using the Kruskal-Wallis test with post hoc analysis. Within-patient analyses comparing the more painful or severe OA side with the contralateral side were conducted using paired sample t-tests or the Wilcoxon signed-rank test. Associations between OA parameters and MLA characteristics were analyzed using Pearson and Spearman correlations. Statistical significance was represented by a p-value <0.05.
Results
The majority of participants had right lower extremity dominance (n=85, 94%). Between-patient analyses included the right knee of 38 patients and the left knee of 52 patients, based on the more symptomatic side. Fifty (%55) patients had moderate-tosevere (Kellgren-Lawrence grade 3 and 4) OA (Table 1). The majority (73%) of patients had normal MLA height. The low MLA rate was relatively low with %11. The AHIstand (0.335±0.03 vs. 0.339±0.02; p=0.629) and ASI (951±631 vs. 974±350; p=0.297) were not different between females and males. Demographic, clinical, and radiological parameters did not differ significantly among the three MLA types, except for the AHIstand values (Table 2).
In within-patient analyses, 85 patients reported a minimum 1-point difference in NRS pain scores between the right and left knee. The AHIstand value was significantly higher on the side with greater knee pain compared to the contralateral side [0.332±0.03 vs. 0.337±0.03; t(84)=2.351, p=0.021]. However, the median ASI values did not differ significantly between more painful and less painful extremities [814 (617, 1088) vs. 803 (590, 1089); Z=–0.379, p=0.705]. Forty patients exhibited asymmetric severity of OA between their knees, as determined by Kellgren-Lawrence grades. The AHIstand was higher in the extremity with more advanced knee OA [0.333±0.03 vs. 0.327±0.03; t(39)=2.533, p=0.015]. However, median ASI values remained comparable between knees with more and less advanced OA [835 (600, 1107) vs. 747 (536, 1111); Z=–0.753, p=0.452] among knees with asymmetric radiological OA severity.
Due to notable differences in symptoms and radiographic characteristics between minimal-to-mild OA and moderate-to-severe OA (Table 3), correlation analyses were conducted separately within each of these two groups. Spearman correlation analyses showed that ASI was positively correlated with AHIstand (rho=0.293; 95% confidence interval: 0.008, 0.534; p=0.039). The anatomical and mechanical TFA were negatively correlated with ASI in the moderate-to-severe OA group. In the minimal-to-mild OA group, ASI was negatively correlated with pain severity. Other correlation analyses revealed no significant results regarding the relationship between MLA and OA features (Table 4).
Discussion
This study highlights several key findings regarding the relationship between MLA characteristics and knee OA. Despite no significant differences in clinical and radiological parameters of OA observed across different MLA types, within-patient comparisons indicated that the foot with higher MLA height was associated with greater knee pain and more advanced OA. Correlation analyses demonstrated that increased MLA stiffness was related to increased knee varus angles, underscoring the biomechanical interplay between MLA structure and knee joint malalignment in advanced OA patients. However, a more flexible arch structure was associated with more intense knee pain in patients with early OA.
The differences in foot posture and MLA structure between individuals with and without knee OA have been widely studied. Studies have reported that patients with knee OA often exhibit a more pronated foot posture compared to healthy controls.[8,9,34] However, inconsistencies exist in these findings. Some studies have shown no significant difference in navicular height between OA patients and healthy individuals, while others reported lower navicular height in OA patients.[9,34,35] This study adds to this body of research by revealing a relatively low pes planus (low MLA) rate of 15% among OA patients and an asymmetry characterized by higher MLA in the extremities with more severe pain and OA grade.
In this study, OA symptoms were not found to be different between MLA groups. However, individuals with asymmetrical knee pain had higher arches in their more painful extremities. The relationship between foot posture, MLA characteristics, and OA symptoms is multifaceted. It has been noted that the risk of knee pain and articular cartilage damage increases with pes planus in elderly people.[36] Guler et al.[37] investigated the relationship between common foot deformities and pain and functionality in female patients with knee OA. Although there was no significant relationship between foot deformities and VAS scores, WOMAC scores were found to be correlated with the lateral talometatarsal angle and hallux valgus angle. In a study of 95 knee OA patients, Zhang et al.[38] found that 78% had pes planus, and these patients experienced more severe knee OA symptoms. On the other hand, Nakazato et al.[39] showed that a lower navicular height ratio was associated with the alleviation of knee OA symptoms. Akaltun and Koçyiğit,[40] in a study in Türkiye, reported that only 10% of OA patients had a pronated foot posture, while a supinated foot posture was associated with more severe pain and higher WOMAC scores. While this heterogeneity in findings may reflect anthropometric variations between populations, it is also important to consider that varying methods were used to evaluate foot posture. The AHI method primarily focuses on the height and rigidity of the MLA in the sagittal plane, without considering foot pronation or rearfoot alignment in the other aspects. However, toe-out walking, foot pronation, and forefoot abduction have been suggested as compensatory mechanisms in patients with painful OA.[16,41,42] This aligns with previous research showing that a pronated foot posture during walking is linked to lower knee flexion, adduction moment, and medial compartment load.[43,44] Unlike methods such as gait analysis and the foot posture index, in this study, AHI measurement was conducted in the bipedal stance, in which neutral toe orientation was achieved. This approach may have prevented the patient from using a possible compensatory posture.
Notably, this study is the first to demonstrate the relationship between ASI, knee pain, and lower extremity alignment in knee OA patients. These findings indicate that a stiffer MLA structure is linked to increased knee varus in patients with advanced OA. Increased knee varus, which is associated with a higher knee adduction moment, can exacerbate medial compartment OA.[45] Conversely, increased MLA flexibility was associated with more severe pain in patients with early OA. These finding aligns with the report by Levinger et al.,[9] which observed increased navicular drop in OA patients. A more flexible MLA leads to abnormal patellofemoral and tibiofemoral joint loading through increased tibial internal rotation during stance.[25] This may be the biomechanical mechanism underlying the relationship between flexible MLA and knee pain in early OA patients.[46] However, in the previous literature, knee varus was found to be associated with external tibial rotation in patients with end-stage knee OA.[47] These findings, suggesting a relationship between a stiffer foot arch and knee varus, may indicate altered foot kinematics via external tibial rotation in advanced knee OA. However, further investigation is required to clarify this issue.
This study has several limitations. First, establishing causal relationships in a cross-sectional study is challenging. Additionally, the parameters were primarily based on static measurement methods, limiting the findings' generalizability to dynamic activities such as walking. The limited number of patients in the low and high arch groups also constrained the ability to employ parametric methods in certain analyses. Lastly, the absence of a healthy control group is a potential limitation. However, given this study's focus on exploring the relationships between MLA structure and clinical parameters of OA, we believe this limitation is not critical.
In conclusion, this study is the first to demonstrate the relationship between ASI, knee pain, and lower extremity alignment in knee OA patients. Although a definitive causal relationship cannot be established, the results suggest that the relationships between arch stiffness and OA-related clinical and biomechanical consequences may differ across OA stages. The asymmetry of MLA height between extremities in OA patients may guide the planning of interventions without footwear and insoles. These findings support the individual modifications of insoles with arch structure analysis, particularly in people with asymmetric OA symptoms.[48] Future research should continue to explore the efficacy of various footwear interventions and the potential benefits of addressing MLA characteristics in the treatment of knee OA.
Citation: Karataş L, Utkan Karasu A. Association of medial longitudinal arch height and stiffness with lower extremity alignment, pain, and disease severity in knee osteoarthritis: A cross-sectional study. Arch Rheumatol 2024;39(4):641-651. doi: 10.46497/ArchRheumatol.2024.10858.
Conceptualization, Investigation, methodology, data analysis: L.K.; Data acquisition, writing-original draft, writing-review & editing: L.K., A.U.K. All authors played a role in the critical revision of the manuscript, approved the final version, and contributed to the study design.
The authors declared no conflicts of interest with respect to the authorship and/or publication of this article.
The authors received no financial support for the research and/or authorship of this article.
The data that support the findings of this study are available from the corresponding author upon reasonable request.
References
- Haraguchi N. Analysis of whole limb alignment in ankle arthritis. Foot Ankle Clin 2022;27:1-12. doi: 10.1016/j.fcl.2021.11.014. DOI: 10.1016/j.fcl.2021.11.014
- Baellow A, Jaffri AH, Hertel J, Higgins MJ, Rangecroft CM, Hryvniak DJ, et al. Intrinsic foot muscle size and quality in a single leg weight bearing position across foot posture types in individuals with patellofemoral pain compared to healthy. Phys Ther Sport 2022;54:58-64. doi: 10.1016/j.ptsp.2022.01.002. DOI: 10.1016/j.ptsp.2022.01.002
- Saito I, Okada K, Wakasa M, Abe H, Saito A. Foot pressure pattern, hindfoot deformities, and their associations with foot pain in individuals with advanced medial knee osteoarthritis. Gait Posture 2018;59:83-8. doi: 10.1016/j.gaitpost.2017.09.041. DOI: 10.1016/j.gaitpost.2017.09.041
- Lakstein D, Fridman T, Ziv YB, Kosashvili Y. Prevalence of anterior knee pain and pes planus in Israel defense force recruits. Mil Med 2010;175:855-7. doi: 10.7205/milmed-d-09-00145. DOI: 10.7205/MILMED-D-09-00145
- Han Y, Duan D, Zhao K, Wang X, Ouyang L, Liu G. Investigation of the relationship between flatfoot and patellar subluxation in adolescents. J Foot Ankle Surg 2017;56:15-8. doi: 10.1053/j.jfas.2016.10.001. DOI: 10.1053/j.jfas.2016.10.001
- Hinman RS, Wrigley TV, Metcalf BR, Campbell PK, Paterson KL, Hunter DJ, et al. Unloading shoes for self-management of knee osteoarthritis: A randomized trial. Ann Intern Med 2016;165:381-9. doi: 10.7326/ M16-0453. DOI: 10.7326/M16-0453
- van Tunen JAC, Paterson KL, Wrigley TV, Metcalf BR, Thorlund JB, Hinman RS. Effect of knee unloading shoes on regional plantar forces in people with symptomatic knee osteoarthritis - an exploratory study. J Foot Ankle Res 2018;11:34. doi: 10.1186/ s13047-018-0278-x. DOI: 10.1186/s13047-018-0278-x
- Reilly K, Barker K, Shamley D, Newman M, Oskrochi GR, Sandall S. The role of foot and ankle assessment of patients with lower limb osteoarthritis. Physiotherapy 2009;95:164-9. doi: 10.1016/j. physio.2009.04.003. DOI: 10.1016/j.physio.2009.04.003
- Levinger P, Menz HB, Fotoohabadi MR, Feller JA, Bartlett JR, Bergman NR. Foot posture in people with medial compartment knee osteoarthritis. J Foot Ankle Res 2010;3:29. doi: 10.1186/1757-1146-3-29. DOI: 10.1186/1757-1146-3-29
- Gross KD, Felson DT, Niu J, Hunter DJ, Guermazi A, Roemer FW, et al. Association of flat feet with knee pain and cartilage damage in older adults. Arthritis Care Res (Hoboken) 2011;63:937-44. doi: 10.1002/ acr.20431.
- Iijima H, Ohi H, Isho T, Aoyama T, Fukutani N, Kaneda E, et al. Association of bilateral flat feet with knee pain and disability in patients with knee osteoarthritis: A cross-sectional study. J Orthop Res 2017;35:2490-8. doi: 10.1002/jor.23565. DOI: 10.1002/jor.23565
- Hsu WC, Jhong YC, Chen HL, Lin YJ, Chen LF, Hsieh LF. Immediate and long-term efficacy of laterally-wedged insoles on persons with bilateral medial knee osteoarthritis during walking. Biomed Eng Online 2015;14:43. doi: 10.1186/s12938-015- 0040-6. DOI: 10.1186/s12938-015-0040-6
- Xing F, Lu B, Kuang MJ, Wang Y, Zhao YL, Zhao J, et al. A systematic review and meta-analysis into the effect of lateral wedge arch support insoles for reducing knee joint load in patients with medial knee osteoarthritis. Medicine (Baltimore) 2017;96:e7168. doi: 10.1097/MD.0000000000007168. DOI: 10.1097/MD.0000000000007168
- Hatfield GL, Cochrane CK, Takacs J, Krowchuk NM, Chang R, Hinman RS, et al. Knee and ankle biomechanics with lateral wedges with and without a custom arch support in those with medial knee osteoarthritis and flat feet. J Orthop Res 2016;34:1597-605. doi: 10.1002/jor.23174. DOI: 10.1002/jor.23174
- Esfandiari E, Kamyab M, Yazdi HR, Sanjari MA, Navvab Motlagh F. The effect of a lateral wedge insole and a subtalar strap on gait parameters in knee osteoarthritis. Med J Islam Repub Iran 2019;33:157. doi: 10.34171/mjiri.33.157. DOI: 10.47176/mjiri.33.157
- Almeheyawi RN, Bricca A, Riskowski JL, Barn R, Steultjens M. Foot characteristics and mechanics in individuals with knee osteoarthritis: Systematic review and meta-analysis. J Foot Ankle Res 2021;14:24. doi: 10.1186/s13047-021-00462-y. DOI: 10.1186/s13047-021-00462-y
- Redmond AC, Crosbie J, Ouvrier RA. Development and validation of a novel rating system for scoring standing foot posture: The Foot Posture Index. Clin Biomech (Bristol, Avon) 2006;21:89-98. doi: 10.1016/j.clinbiomech.2005.08.002. DOI: 10.1016/j.clinbiomech.2005.08.002
- Rosende-Bautista C, Munuera-Martínez PV, SeoanePillado T, Reina-Bueno M, Alonso-Tajes F, PérezGarcía S, et al. Relationship of body mass index and footprint morphology to the actual height of the medial longitudinal arch of the foot. Int J Environ Res Public Health 2021;18:9815. doi: 10.3390/ ijerph18189815. DOI: 10.3390/ijerph18189815
- Mickle KJ, Steele JR, Munro BJ. The feet of overweight and obese young children: Are they flat or fat? Obesity (Silver Spring) 2006;14:1949-53. doi: 10.1038/oby.2006.227. DOI: 10.1038/oby.2006.227
- Williams DS, McClay IS. Measurements used to characterize the foot and the medial longitudinal arch: Reliability and validity. Phys Ther 2000;80:864-71. DOI: 10.1093/ptj/80.9.864
- Butler RJ, Hillstrom H, Song J, Richards CJ, Davis IS. Arch height index measurement system: Establishment of reliability and normative values. J Am Podiatr Med Assoc 2008;98:102-6. doi: 10.7547/0980102. DOI: 10.7547/0980102
- Hillstrom HJ, Song J, Kraszewski AP, Hafer JF, Mootanah R, Dufour AB, et al. Foot type biomechanics part 1: Structure and function of the asymptomatic foot. Gait Posture 2013;37:445-51. doi: 10.1016/j. gaitpost.2012.09.007. DOI: 10.1016/j.gaitpost.2012.09.007
- Zifchock RA, Davis I, Hillstrom H, Song J. The effect of gender, age, and lateral dominance on arch height and arch stiffness. Foot Ankle Int 2006;27:367-72. doi: 10.1177/107110070602700509. DOI: 10.1177/107110070602700509
- Prachgosin T, Chong DY, Leelasamran W, Smithmaitrie P, Chatpun S. Medial longitudinal arch biomechanics evaluation during gait in subjects with flexible flatfoot. Acta Bioeng Biomech 2015;17:121-30.
- Rabe KG, Segal NA, Waheed S, Anderson DD. The effect of arch drop on tibial rotation and tibiofemoral contact stress in postpartum women. PM R 2018;10:1137-44. doi: 10.1016/j.pmrj.2018.04.006. DOI: 10.1016/j.pmrj.2018.04.006
- McFadden C, Strike S, Daniels KAJ. Are inter-limb differences in change of direction velocity and angle associated with inter-limb differences in kinematics and kinetics following anterior cruciate ligament reconstruction? Gait Posture 2024;109:1-8. doi: 10.1016/j.gaitpost.2023.12.014. DOI: 10.1016/j.gaitpost.2023.12.014
- Zifchock R, Parker R, Wan W, Neary M, Song J, Hillstrom H. The relationship between foot arch flexibility and medial-lateral ground reaction force distribution. Gait Posture 2019;69:46-9. doi: 10.1016/j.gaitpost.2019.01.012. DOI: 10.1016/j.gaitpost.2019.01.012
- Lankhorst NE, Bierma-Zeinstra SM, van Middelkoop M. Factors associated with patellofemoral pain syndrome: A systematic review. Br J Sports Med 2013;47:193- 206. doi: 10.1136/bjsports-2011-090369. DOI: 10.1136/bjsports-2011-090369
- van Melick N, Meddeler BM, Hoogeboom TJ, Nijhuisvan der Sanden MWG, van Cingel REH. How to determine leg dominance: The agreement between self-reported and observed performance in healthy adults. PLoS One 2017;12:e0189876. doi: 10.1371/ journal.pone.0189876. DOI: 10.1371/journal.pone.0189876
- Marques Luís N, Varatojo R. Radiological assessment of lower limb alignment. EFORT Open Rev 2021;6:487- 94. doi: 10.1302/2058-5241.6.210015. DOI: 10.1302/2058-5241.6.210015
- Chang CB, Choi JY, Koh IJ, Seo ES, Seong SC, Kim TK. What should be considered in using standard knee radiographs to estimate mechanical alignment of the knee? Osteoarthritis Cartilage 2010;18:530-8. doi: 10.1016/j.joca.2009.12.004. DOI: 10.1016/j.joca.2009.12.004
- Zifchock RA, Theriot C, Hillstrom HJ, Song J, Neary M. The relationship between arch height and arch flexibility a proposed arch flexibility classification system for the description of multidimensional foot structure. J Am Podiatr Med Assoc 2017;107:119-23. doi: 10.7547/15-051. DOI: 10.7547/15-051
- Guenka LC, Carrasco AC, Pelegrinelli ARM, Silva MF, Dela Bela LF, Moura FA, et al. Influence of the medial longitudinal arch of the foot in adult women in ankle isokinetic performance: A cross-sectional study. J Foot Ankle Res 2021;14:43. doi: 10.1186/s13047- 021-00479-3. DOI: 10.1186/s13047-021-00479-3
- Abourazzak FE, Kadi N, Azzouzi H, Lazrak F, Najdi A, Nejjari C, et al. A positive association between foot posture index and medial compartment knee osteoarthritis in moroccan people. Open Rheumatol J 2014;8:96-9. doi: 10.2174/1874312901408010096. DOI: 10.2174/1874312901408010096
- Anne Reilly K, Louise Barker K, Shamley D, Sandall S. Influence of foot characteristics on the site of lower limb osteoarthritis. Foot Ankle Int 2006;27:206-11. doi: 10.1177/107110070602700310. DOI: 10.1177/107110070602700310
- Gross KD, Felson DT, Niu J, Hunter DJ, Guermazi A, Roemer FW, et al. Association of flat feet with knee pain and cartilage damage in older adults. Arthritis Care Res (Hoboken) 2011;63:937-44. doi: 10.1002/acr.20431. DOI: 10.1002/acr.20431
- Guler H, Karazincir S, Turhanoglu AD, Sahin G, Balci A, Ozer C. Effect of coexisting foot deformity on disability in women with knee osteoarthritis. J Am Podiatr Med Assoc 2009;99:23-7. doi: 10.7547/0980023. DOI: 10.7547/0980023
- Zhang M, Nie MD, Qi XZ, Ke S, Li JW, Shui YY, et al. A strong correlation between the severity of flatfoot and symptoms of knee osteoarthritis in 95 patients. Front Surg 2022;9:936720. doi: 10.3389/ fsurg.2022.936720. DOI: 10.3389/fsurg.2022.936720
- Nakazato K, Taniguchi M, Yagi M, Motomura Y, Fukumoto Y, Saeki J, et al. Assessment of fore-, mid-, and rear-foot alignment and their association with knee symptoms and function in patients with knee osteoarthritis. Clin Rheumatol 2023;42:511-7. doi: 10.1007/s10067-022-06421-7. DOI: 10.1007/s10067-022-06421-7
- Akaltun MS, Koçyiğit BF. Assessment of foot posture and related factors in patients with knee osteoarthritis. Arch Rheumatol 2021;36:267-73. doi: 10.46497/ ArchRheumatol.2021.8354. DOI: 10.46497/ArchRheumatol.2021.8354
- Simic M, Hinman RS, Wrigley TV, Bennell KL, Hunt MA. Gait modification strategies for altering medial knee joint load: A systematic review. Arthritis Care Res (Hoboken) 2011;63:405-26. doi: 10.1002/ acr.20380. DOI: 10.1002/acr.20380
- Kubo T, Uritani D, Ogaya S, Kita S, Fukumoto T, Fujii T, et al. Association between foot posture and tibiofemoral contact forces during barefoot walking in patients with knee osteoarthritis. BMC Musculoskelet Disord 2022;23:660. doi: 10.1186/s12891-022- 05624-y. DOI: 10.1186/s12891-022-05624-y
- Levinger P, Menz HB, Morrow AD, Bartlett JR, Feller JA, Bergman NR. Relationship between foot function and medial knee joint loading in people with medial compartment knee osteoarthritis. J Foot Ankle Res 2013;6:33. doi: 10.1186/1757-1146-6-33. DOI: 10.1186/1757-1146-6-33
- Sohrabi M, Torkaman G, Bahrami F. Comparing knee kinetics and kinematics in healthy individuals and those with knee osteoarthritis, with and without flat feet. J Appl Biomech 2024;40:232-40. doi: 10.1123/ jab.2023-0143. DOI: 10.1123/jab.2023-0143
- Sharma L, Song J, Dunlop D, Felson D, Lewis CE, Segal N, et al. Varus and valgus alignment and incident and progressive knee osteoarthritis. Ann Rheum Dis 2010;69:1940-5. doi: 10.1136/ard.2010.129742. DOI: 10.1136/ard.2010.129742
- Kaneda K, Harato K, Oki S, Yamada Y, Nakamura M, Nagura T, et al. Increase in tibial internal rotation due to weight-bearing is a key feature to diagnose early-stage knee osteoarthritis: A study with upright computed tomography. BMC Musculoskelet Disord 2022;23:253. doi: 10.1186/ s12891-022-05190-3. DOI: 10.1186/s12891-022-05190-3
- Strahovnik A, Strahovnik I, Fokter SK. Coronal knee alignment and tibial rotation in total knee arthroplasty: A prospective cohort study of patients with end-stage osteoarthritis. Bioengineering (Basel) 2024;11:296. doi: 10.3390/bioengineering11030296. DOI: 10.3390/bioengineering11030296
- Vicenzino B, Collins N, Cleland J, McPoil T. A clinical prediction rule for identifying patients with patellofemoral pain who are likely to benefit from foot orthoses: A preliminary determination. Br J Sports Med 2010;44:862-6. doi: 10.1136/ bjsm.2008.052613. DOI: 10.1136/bjsm.2008.052613