A cohort study of ultrasonic semi-quantitative scoring for the diagnosis of serology-negative rheumatoid arthritis
Jing Xu1,2*
, Yiran Gong1,2*
, Kaiyi Yang1,2*
, Yabin Fang1,2
, Wenting Li1,2
, Shuqiang Chen1,2,3
1Department of Ultrasound, The First Affiliated Hospital of Fujian Medical University, Fuzhou, China
2Department of Ultrasound, National Regional Medical Center, Binhai Campus of the First Affiliated Hospital, Fujian Medical University, Fuzhou , China
3Department of Ultrasound, Fujian Provincial Hospital Affiliated to Fuzhou University, Fuzhou, China
Keywords: Arthritis, rheumatoid, semi-quantitative scoring, seronegative, ultrasonic.
Abstract
Objectives: This study aims to explore the value of ultrasonic semi-quantitative scoring in the diagnosis of seronegative rheumatoid arthritis (RA).
Patients and methods: Between January 2018 and October 2023, a total of 411 patients (241 males, 170 females; mean age: 50.9±17.5 years; range, 18 to 87 years) were included. Of these patients, 296 were diagnosed with RA (including 131 with seronegative RA [SNRA] and 165 with seropositive RA [SPRA]) and 115 with non-RA disease. Ultrasound examination was performed on all patients with suspected RA, focusing on evaluation of synovial hypertrophy (SH), power Doppler (PD) signals, and bone erosion (BE) for three to six months. The ultrasonic joint semi-quantitative score was evaluated for the sensitivity and specificity of detecting seronegative RA.
Results: The three indexes of SH, PD, and BE were not significantly different between the SNRA and SPRA groups (p=0.223, p=0.176; p=0.272, respectively). However, there were differences on the SH1, SH3, PD, and BE grades between the SNRA group and the non-RA group (p<0.001 for all); when serology was negative and when the highest scored joint met PD Grade ≥2 or BE Grade ≥2, it showed both high sensitivity (93.12%) and high specificity (91.30%) for the diagnosis of RA.
Conclusion: Ultrasound combined with semi-quantitative scoring is of promising significance in the early diagnosis of SNRA patients.
Introduction
Rheumatoid arthritis (RA) is an autoimmunerelated chronic disease. The disease mainly involves the small joints of the hands and feet, but can involve multiple joints resulting in impaired joint function and structural damage. Therefore, RA results in high rate of disability. There are a variety of autoantibodies in the serum of RA patients, particularly rheumatoid factor (RF) and anti-citrullinated peptide antibodies (ACPA); however, serological autoantibodies are undetectable in some RA patients.[1] Some clinicians follow the diagnostic criteria for RA formulated by the American College of Rheumatology (ACR) and the European Alliance of Associations for Rheumatology (EULAR) in 2010;[2] however, in some patients, autoantibodies such as RF and ACPA are not detectable (classified as seronegative RA [SNRA]), while one or more serological autoantibodies may be positively identified in others (seropositive RA [SPRA]).[3] Currently, the immune injury mechanism of SNRA still remains unclear.[4]
It has been reported in the literature that the proportion of RA patients with double-negative RF and ACPA ranges from 10%[5] to 48%.[6] For SNRA patients, due to negative serology, if the clinical signs are not specific, early diagnosis is relatively difficult to achieve, thus changes detectable via imaging are important for diagnosis confirmation. In the present study, we aimed to conduct a semi-quantitative joint assessment of synovial inflammation and bone erosion (BE) in joints under ultrasound to find the optimal balance of sensitivity and specificity for the early diagnosis of SNRA using objective and reliable ultrasonographic indicators for early RA detection.
Patients and Methods
This single-center retrospective cohort study was conducted at the First Affiliated Hospital of Fujian Medical University, Department of Ultrasound Medicine between January 2018 and October 2023. The clinical and ultrasonographic data of outpatients or inpatients with suspected RA were collected. A written informed consent was obtained from each patient. The study protocol was approved by the First Affiliated Hospital of Fujian Medical University Ethics Committee (date: 14.07.2022, no: 251). The study was conducted in accordance with the principles of the Declaration of Helsinki.
Inclusion criteria were as follows: (i) age ≥16 years; (ii) presenting with pain and swelling of hand joints (including wrist joint, metacarpophalangeal (MCP) joint, proximal interphalangeal (PIP) joint or distal interphalangeal (DIP) joint); (iii) the time from the onset of symptoms to study enrollment not exceeding 12 months; and (iv) a follow-up period of three to six months, and having complete clinical, serological and ultrasonographic data of the patients. Exclusion criteria were as follows: (i) patients with a history of joint infection, trauma, or surgery; and (ii) patients who were diagnosed and treated with disease-modifying antirheumatic drugs (DMARDs) or glucocorticoids. Finally, a total of 411 patients (241 males, 170 females; mean age: 50.9±17.5 years; range, 18 to 87 years) who met the inclusion criteria were included. Of these patients, 296 were diagnosed with RA (including 131 with SNRA and 165 with SPRA) and 115 with non-RA disease.
Data including demographic and clinical characteristics and laboratory indicators including C-reactive protein (CRP), erythrocyte sedimentation rate (ESR), RF, and ACPA were recorded per protocol.
Ultrasonographic examination
The GE LOGIQ E9 (General Electric Company, MA, USA) was chosen for this study. Typically, 6 to 15 MHz and 7 to 11 MHz probes were selected, and routine examination positions and methods were used. The scanning of each organ was based on the Chinese guidelines for musculoskeletal ultrasonography.[7] We performed ultrasound assessment of 30 joints in each enrolled patient including: bilateral wrist joints, MCP joints 1-5, PIP joints 1-5, and DIP joints 2-5.
The indicators of ultrasound evaluation included: (i) synovial hypertrophy (SH); (ii) intra-synovial power Doppler (PD) signals; (iii) BE; (iv) tendonitis; (v) and tenosynovitis. Among them, SH, PD, and BE grading criteria were divided into 0-3 grades according to the Szkudlarek criteria (Table 1).[8] The examiner was blinded to the diagnosis made by the clinician and did not use the examination results as a reference for the clinician's diagnosis.
After three to six months of follow-up, it was finally determined whether the patient met the 2010 ACR/EULAR diagnostic criteria for RA. Subsequently, the patient was considered to be diagnosed with RA.
Statistical analysis
Statistical analysis was performed using the IBM SPSS version 19.0 software (IBM Corp., Armonk, NY, USA). Descriptive data were expressed in mean ± standard deviation (SD), median (min-max) or number and frequency, where applicable. The enumeration data were analyzed using the chi-square test and Fisher exact probability, while the measurement data were analyzed using the t-test. A p value of <0.05 was considered statistically significant.
Results
Overall patients’ characteristics and baseline data
A total of 411 patients with suspected RA were included in this study, of which 296 were diagnosed with RA (including 131 with SNRA and 165 with SPRA) and 115 with non-RA disease (including 93 osteoarthritis, gout 15 cases, 4 cases of systemic lupus erythematosus, 3 cases of ankylosing spondylitis, 3 cases of psoriatic arthropathy, 1 case of polymyalgia rheumatica, and 1 case of polymyositis). There were no significant differences in the age, proportion of male patients, symptom duration, distribution of involved joints, number of involved joints, CRP and ESR values between the SNRA and SPRA groups (p>0.05). In addition, there were no significant differences in the proportion of male patients, symptom duration, and the distribution of involved joints between the SNRA and non-RA groups (p>0.05). However, the mean age of SNRA patients, the number of involved joints, the mean time required for diagnosis, and CRP and ESR values were all significantly higher than those of non-RA patients (p<0.001) (Table 2).
Imaging manifestations of the SNRA, SPRA, and non-RA patients
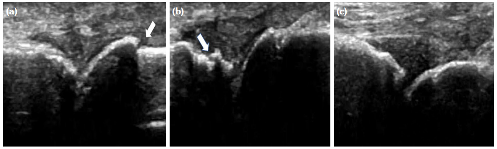
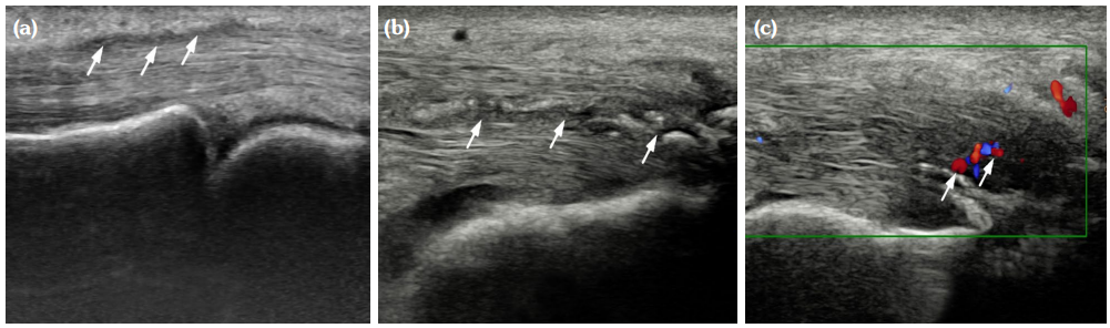
The degree of BE and synovial hyperplasia in SNRA or SPRA is more serious, and the blood flow signal is more abundant. However, the degree of synovial hyperplasia in osteoarthritis was mild, and no obvious blood flow signal was detected (Figures 1, 2, 3 and 4). Magnetic resonance imaging (MRI) studies of SPRA also showed serious BE (Figure 5).
Difference in ultrasound findings among SNRA, SPRA and non-RA groups
Among SNRA, SPRA and non-RA, there was no significant difference in the grades of SH, PD, BE, nor the number of cases of tendinitis and tenosynovitis between the SNRA group and the SPRA group (p>0.05) (Table 3). There were, however, statistically significant differences in the number of cases of SH1, SH3, PD and BE grades between the SNRA and non-RA groups (p<0.001). There was no significant difference in the number of cases of SH2, PD2, tendinitis or tenosynovitis between the SNRA and non-RA groups (p>0.05) (Table 4).
Diagnostic performance of ultrasound classification criteria for SNRA patients
We performed ultrasound scores on 30 hand joints of seronegative RA and non-RA patients, and the resulting SH, PD, and BE scores were selected from the most severely affected single joint (i.e., the one with the highest SH, PD, and BE scores). Next, we sequentially tested the sensitivity, specificity, positive predictive value (PPV), and negative predictive value (NPV) of each grade of SH, PD, and BE for the diagnosis of RA (Table 5). Accordingly, when the serological test was negative, PD Grade ≥2 or BE Grade ≥2 showed a higher sensitivity and specificity for diagnosing RA. When these two grading systems were combined and when either PD Grade ≥2 or BE Grade ≥2 was met, the optimal balance of high sensitivity (93.12%) and high specificity (91.30%) for diagnosing RA could be achieved.
Discussion
In RA, autoantibodies can be pathogenic and can thus be used as diagnostic markers.[9,10] In SPRA patients, it is relatively easy to diagnose RA patients using the 2010 ACR/EULAR diagnostic criteria for RA, even during early stages. However, due to the lack of specific markers such as serological indicators and imaging characteristics in SNRA patients, early diagnosis of SNRA is extremely challenging, which can easily lead to misdiagnosis and inappropriate treatment.
The current diagnostic criteria for RA are mainly based on the 2010 ACR/EULAR criteria;[2] however, these criteria for the diagnosis of SNRA patients are still lagging behind that of SPRA.[11-13] This can be attributed to the fact that the positivity of antibodies such as ACPA and RF is heavily weighted in the 2010 criteria, and autoantibody-negative patients require symptoms of more than 10 joints (i.e., tenderness and swelling) for ≥6 weeks. In the present study, more than 80% of SNRA patients who were diagnosed early often had less than 10 involved joints, hindering the early diagnosis and treatment of SNRA patients. The delay in meeting classification criteria and receiving clinical diagnosis and treatment of RA may reflect diagnostic uncertainty in SNRA patients and undoubtedly affects the initiation of DMARDs therapy. Therefore, when serological tests are negative, we want to identify RA and non-RA diseases by looking for favorable ultrasound conditions.
Several previous studies have proposed that PD grading has a potent specificity for the early evaluation of SPRA patients. Nam et al.[14] proposed that, in the MCP, PIP and metatarsophalangeal joints of subclinical SPRA patients, the joints with PD Grade ≥2 had a poor prognosis. Kawashiri et al.[15] suggested that, in the wrist joints of SPRA patients, the prevalence of MRI-detected bone marrow edema in joints with PD Grade ≥2 under ultrasound was much higher than that in PD Grade ≤1 joints. In this study, we report that there was no significant difference in the clinical features and ultrasound findings of SPRA and SNRA patients in the early onset, and that the condition of PD Grade ≥2 had the same high specificity for the early diagnosis of SNRA as SPRA. Combined with a BE Grade ≥2, this may help to improve the sensitivity of ultrasonographic diagnostic measures and can achieve an optimal balance between high sensitivity and high specificity.
Our findings suggest that the use of synovial blood flow and the degree of BE are helpful in distinguishing RA from non-RA, which may be explained by the underlying pathological changes. The pathological features of RA include primary synovial inflammation, which produces aggressive synovial pannus attached to the cartilage, causing hypoxia and erosion of the bone. Synovitis caused by non-RA disease is mostly due to inflammation, edema and thickening of synovium due to degenerative or pathological changes of cartilage and cortical bone. It is not difficult to understand that the invasive synovial blood vessels during RA are closely related to the phenomenon of BE; thus, the combination of the two ultrasonic characteristics are sound pathological indicators for the evaluation of RA.
There are certain challenges in the assessment of synovitis and BE via ultrasound including the selection of the joint for examination. Currently, the basis for joint selection has not been clearly unified. In the past few years, some investigators have proposed to reduce the number of joints, ranging from 6 to 12 joints, for ultrasound scoring.[16-19] However, in clinical work, the affected joints of patients are not uniform, and selecting only some joints for scoring could bias the ultrasonographic evaluation. Recent studies have tended to agree on the selection of the most severely affected joints as the evaluation joints,[1,4] which is more in line with the actual clinical scenario. Considering that RA patients commonly present with affected hand joints, after a comprehensive evaluation of patient’s total 30 hand joints, the most severely affected joint was selected in this study for joint scoring. In addition, we evaluated tendinitis and tenosynovitis, which are very common and usually one of the early symptoms of RA patients.[20,21] In the current study, more than one-third of both RA and non-RA patients exhibited ultrasound-confirmed tendinitis or tenosynovitis, ultimately suggesting that neither tendonitis nor tenosynovitis are reliable for the early diagnosis of SNRA.
One of the limitations to this study is the lack of other imaging and pathological comparisons. Magnetic resonance imaging is an effective tool to examine early RA and to evaluate therapeutic effect; it is considered gold standard for RA research. However, in practice, it is time-consuming to perform MRI examinations on all the affected joints of the patient's hands. Moreover, MRI can be costly for many patients. On the other hand, although needle biopsy of joint synovium is helpful for accurate diagnosis of disease, it is an invasive operation with high technical requirements for the operator and may, thus, not be the best choice for patients.
In conclusion, the clinical manifestations of SNRA patients are similar to those of gout and osteoarthritis. This combined with the absence of positive serological indicators contributes to the worsened prognosis of SNRA patients. Eventually, misdiagnosis and delayed treatment of SNRA patients can lead to catastrophic consequences. Therefore, it is of paramount importance to find practical, accessible, and non-invasive solutions with the capacity to evaluate RA characteristics. The unique fine spatial resolution, convenience and reproducibility of ultrasound endow it with the ability to detect synovitis and subtle BEs.[22] Taken together, our study results suggest that using the most affected joint (highest score) among all affected hand joints, the optimal balance of high specificity and high specificity can be achieved, when either PD Grade ≥2 or BE Grade ≥2 criteria are met. This relatively objective evaluation strategy can be used to provide a basis for the early diagnosis of SNRA, early detection of BE, and early treatment of the RA in this patient population.
Citation: Xu J, Gong Y, Yang K, Fang Y, Li W, Chen S. A cohort study of ultrasonic semiquantitative scoring for the diagnosis of serology-negative rheumatoid arthritis. Arch Rheumatol 2024;39(4):579-587. doi: 10.46497/ ArchRheumatol.2024.10788.
Contributed to conceptualization, data collection, data analysis, investigation, and manuscript writing: X.J., G.Y.R., Y.K.Y.; Contributed to conceptualization and ultrasound assessment: F.Y.B.; Contributed to data collection and data analysis: L.W.T.; Contributed to conceptualization, manuscript revision, funding acquisition, and supervision: C.S.Q.
The authors declared no conflicts of interest with respect to the authorship and/or publication of this article.
Please include the acknowledgment of financial support from the Social Development Guiding Project Fund of Fujian Province [Grant number 2021Y0012], the Fujian Province Joint Innovation and Dual High Project [Grant number 2021Y9092] and 2022 Medical University Transfer Financial Special Fund Project[Grant number 22SCZZX004].
The data that support the findings of this study are available from the corresponding author upon reasonable request.
References
- Terslev L, Christensen R, Aga AB, Sexton J, Haavardsholm EA, Hammer HB. Assessing synovitis in the hands in patients with rheumatoid arthritis by ultrasound: An agreement study exploring the most inflammatory active side from two Norwegian trials. Arthritis Res Ther 2019;21:166. doi: 10.1186/ s13075-019-1930-y. DOI: 10.1186/s13075-019-1930-y
- Aletaha D, Neogi T, Silman AJ, Funovits J, Felson DT, Bingham CO 3rd, et al. 2010 Rheumatoid arthritis classification criteria: An American College of Rheumatology/European League Against Rheumatism collaborative initiative. Arthritis Rheum 2010;62:2569-81. doi: 10.1002/art.27584. DOI: 10.1002/art.27584
- Pratt AG, Isaacs JD. Seronegative rheumatoid arthritis: Pathogenetic and therapeutic aspects. Best Pract Res Clin Rheumatol 2014;28:651-9. doi: 10.1016/j. berh.2014.10.016. DOI: 10.1016/j.berh.2014.10.016
- Kawashiri SY, Fujikawa K, Nishino A, Takatani A, Shimizu T, Umeda M, et al. Combination of ultrasound power Doppler-verified synovitis and seropositivity accurately identifies patients with early-stage rheumatoid arthritis. Int J Rheum Dis 2019;22:842-51. doi: 10.1111/1756-185X.13543. DOI: 10.1111/1756-185X.13543
- Greiner A, Plischke H, Kellner H, Gruber R. Association of anti-cyclic citrullinated peptide antibodies, anti-citrullin antibodies, and IgM and IgA rheumatoid factors with serological parameters of disease activity in rheumatoid arthritis. Ann N Y Acad Sci 2005;1050:295-303. doi: 10.1196/ annals.1313.031. DOI: 10.1196/annals.1313.031
- Ateş A, Karaaslan Y, Aksaray S. Predictive value of antibodies to cyclic citrullinated peptide in patients with early arthritis. Clin Rheumatol 2007;26:499- 504. doi: 10.1007/s10067-006-0309-z. DOI: 10.1007/s10067-006-0309-z
- Ultrasound Branch of Chinese Medical Doctor Association. Guidelines for Ultrasound Examination of Musculoskeletal in China; 2017.
- Szkudlarek M, Court-Payen M, Jacobsen S, Klarlund M, Thomsen HS, Østergaard M. Interobserver agreement in ultrasonography of the finger and toe joints in rheumatoid arthritis. Arthritis Rheum 2003;48:955-62. doi: 10.1002/art.10877. DOI: 10.1002/art.10877
- Engdahl C, Bang H, Dietel K, Lang SC, Harre U, Schett G. Periarticular bone loss in arthritis is induced by autoantibodies against citrullinated vimentin. J Bone Miner Res 2017;32:1681-91. doi: 10.1002/ jbmr.3158. DOI: 10.1002/jbmr.3158
- Aletaha D, Neogi T, Silman AJ, Funovits J, Felson DT, Bingham CO 3rd, et al. 2010 rheumatoid arthritis classification criteria: An American College of Rheumatology/European League Against Rheumatism collaborative initiative. Ann Rheum Dis 2010;69:1580-8. doi: 10.1136/ard.2010.138461. DOI: 10.1136/ard.2010.138461
- Coffey CM, Crowson CS, Myasoedova E, Matteson EL, Davis JM 3rd. Evidence of diagnostic and treatment delay in seronegative rheumatoid arthritis: Missing the window of opportunity. Mayo Clin Proc 2019;94:2241- 8. doi: 10.1016/j.mayocp.2019.05.023. DOI: 10.1016/j.mayocp.2019.05.023
- Boeters DM, Gaujoux-Viala C, Constantin A, van der Helm-van Mil AHM. The 2010 ACR/EULAR criteria are not sufficiently accurate in the early identification of autoantibody-negative rheumatoid arthritis: Results from the Leiden-EAC and ESPOIR cohorts. Semin Arthritis Rheum 2017;47:170-4. doi: 10.1016/j. semarthrit.2017.04.009. DOI: 10.1016/j.semarthrit.2017.04.009
- Szkudlarek M, Terslev L, Wakefield RJ, Backhaus M, Balint PV, Bruyn GA, et al. Summary findings of a systematic literature review of the ultrasound assessment of bone erosions in rheumatoid arthritis. J Rheumatol 2016;43:12-21. doi: 10.3899/ jrheum.141416. DOI: 10.3899/jrheum.141416
- Nam JL, Hensor EM, Hunt L, Conaghan PG, Wakefield RJ, Emery P. Ultrasound findings predict progression to inflammatory arthritis in anti-CCP antibody-positive patients without clinical synovitis. Ann Rheum Dis 2016;75:2060-7. doi: 10.1136/ annrheumdis-2015-208235. DOI: 10.1136/annrheumdis-2015-208235
- Kawashiri SY, Suzuki T, Nakashima Y, Horai Y, Okada A, Nishino A, et al. Synovial inflammation assessed by ultrasonography correlates with MRIproven osteitis in patients with rheumatoid arthritis. Rheumatology (Oxford) 2014;53:1452-6. doi: 10.1093/rheumatology/keu034. DOI: 10.1093/rheumatology/keu034
- Naredo E, Rodríguez M, Campos C, RodríguezHeredia JM, Medina JA, Giner E, et al. Validity, reproducibility, and responsiveness of a twelve-joint simplified power doppler ultrasonographic assessment of joint inflammation in rheumatoid arthritis. Arthritis Rheum 2008;59:515-22. doi: 10.1002/art.23529. DOI: 10.1002/art.23529
- Backhaus M, Ohrndorf S, Kellner H, Strunk J, Backhaus TM, Hartung W, et al. Evaluation of a novel 7-joint ultrasound score in daily rheumatologic practice: A pilot project. Arthritis Rheum 2009;61:1194-201. doi: 10.1002/art.24646. DOI: 10.1002/art.24646
- Aga AB, Hammer HB, Olsen IC, Uhlig T, Kvien TK, van der Heijde D, et al. First step in the development of an ultrasound joint inflammation score for rheumatoid arthritis using a data-driven approach. Ann Rheum Dis 2016;75:1444-51. doi: 10.1136/annrheumdis-2015-207572. DOI: 10.1136/annrheumdis-2016-eular.2672
- Aga AB, Berner Hammer H, Christoffer Olsen I, Uhlig T, Kvien TK, van der Heijde D, et al. Development of a feasible and responsive ultrasound inflammation score for rheumatoid arthritis through a data-driven approach. RMD Open 2016;2:e000325. doi: 10.1136/rmdopen-2016-000325. DOI: 10.1136/rmdopen-2016-000325
- Nieuwenhuis WP, Krabben A, Stomp W, Huizinga TW, van der Heijde D, Bloem JL, et al. Evaluation of magnetic resonance imaging-detected tenosynovitis in the hand and wrist in early arthritis. Arthritis Rheumatol 2015;67:869-76. doi: 10.1002/art.39000. DOI: 10.1002/art.39000
- Filippucci E, Gabba A, Di Geso L, Girolimetti R, Salaffi F, Grassi W. Hand tendon involvement in rheumatoid arthritis: An ultrasound study. Semin Arthritis Rheum 2012;41:752-60. doi: 10.1016/j. semarthrit.2011.09.006. DOI: 10.1016/j.semarthrit.2011.09.006
- Finzel S, Aegerter P, Schett G, D'Agostino MA. Identification, localization and differentiation of erosions and physiological bone channels by ultrasound in rheumatoid arthritis patients. Rheumatology (Oxford) 2020;59:3784-92. doi: 10.1093/rheumatology/ keaa183. DOI: 10.1093/rheumatology/keaa183