Recent studies have revealed a link between autoimmune diseases and a heightened risk of developing cancer, notably in patients with autoimmune rheumatic diseases.[1,2] This is particularly true for Sjögren’s syndrome, which is well-documented to increase the risk of lymphoma.[3] However, recent findings suggest that individuals with Sjögren's syndrome might also be at an elevated risk for a wider range of cancers, including the less commonly reported pharyngeal cancer. This type of cancer often mimics sialadenitis, making accurate diagnosis challenging.
A 49-year-old male patient with a history of Sjögren's syndrome, previously treated tuberculosis, and chronic obstructive pulmonary disease presented with the complaint of a mass in the left jaw region, resembling sialadenitis but lacking tenderness or typical inflammatory signs. The diagnosis of Sjögren's syndrome was established one and a half years prior, adhering to the 2016 American College of Rheumatology/European Alliance of Associations for Rheumatology classification criteria. This diagnosis was supported by the presence of a positive anti-SSA (Ro) antibody (50.1 U/mL), a positive Schirmer test (3 mm/5 min in both eyes), and a reduced unstimulated whole saliva flow rate (0.2 mL over 5 min). The treatment for the patient focused on alleviating sicca symptoms, with no extraglandular manifestations reported.
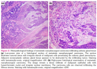
Upon admission, laboratory analyses revealed anemia, indicated by a hemoglobin concentration of 10.8 g/dL, and raised C-reactive protein levels, which were measured at 54.05 mg/L. A computed tomography scan indicated necrotic lymph nodes, leading to a diagnosis of metastatic carcinoma confirmed by fine-needle aspiration. Subsequent magnetic resonance imaging (MRI) and positron emission tomography (PET)/computed tomography (CT) confirmed the presence of left hypopharyngeal cancer with ipsilateral lymph node metastasis involving the left submandibular gland and sternocleidomastoid muscle (5.2×4.8 cm; Figures 1a-c). Following radical neck dissection, squamous cell carcinoma with metastasis, including invasion into the submandibular gland was confirmed (Figures 2a, b). The patient was diagnosed with Stage IVA hypopharyngeal cancer and underwent three months of cisplatin and radiation therapy. However, restaging after treatment revealed a new nasopharyngeal mass with skull base destruction and lung metastasis. Despite undergoing an additional five months of chemotherapy, treatment was discontinued due to his deteriorating condition. Subsequently, the patient received four months of symptomatic conservative care before being lost to follow-up.
The rising incidence of pharyngeal carcinoma, which includes nasopharyngeal, oropharyngeal, and hypopharyngeal cancers, poses a significant concern.[4] These cancers often present without symptoms or mimic benign conditions, making early detection difficult.[5,6] The prognosis for hypopharyngeal cancer remains poor, with a five-year survival rate of 30 to 40%.[7]
Research from Taiwan's Health Insurance database suggests a 45% increased risk of head and neck cancer among individuals with Sjögren’s syndrome.[8] The cause of this increased risk may be related to chronic inflammation and immune dysregulation associated with autoimmune diseases.[9] Notably, the Epstein-Barr virus, a known risk factor for pharyngeal cancer, has also been implicated in the pathophysiology of autoimmune diseases, including Sjögren’s syndrome.[10] The similarity of symptoms between pharyngeal cancer and sialadenitis, often encountered in Sjögren’s syndrome, underscores the necessity for vigilance in diagnostic and therapeutic approaches in clinical practice.
