Evaluation of the anti-RANKL monoclonal antibody in rheumatoid arthritis rats
Department of Emergency, the Fourth Medical Center of PLA General Hospital, Beijing, China
Keywords: Anti-RANKL, monoclonal antibody, rheumatoid arthritis, treatment.
Abstract
Objectives: In this study, we aimed to investigate the therapeutic effect of anti-receptor activator of nuclear factor kappa-κB ligand (RANKL) monoclonal antibodies R748-1-1-1, R748-1-1-2 and R748-1-1-3 on rheumatoid arthritis (RA) in a rat model.
Materials and methods: Gene cloning, hybridoma technology, affinity purification, enzyme-linked immunosorbent assay, general observation, hematoxylin-eosin staining, X-ray, and many other experimental techniques were used in this study.
Results: Improved collagen-induced arthritis (CIA) modeling was successfully constructed. The RANKL gene was cloned and the anti-RANKL monoclonal antibody was prepared. Following treatment with the anti-RANKL monoclonal antibody, the soft tissue swelling of the hind paws, the joint thickening, the narrowed joint gap, and the blurred edge of the bone joint were improved. The pathological changes such as synovial hyperplasia of fibrous tissue, cartilage and bone destruction were significantly decreased in the anti-RANKL monoclonal antibody-treated CIA group. Compared to the normal control group and phosphate buffer saline (PBS)-treated CIA group, the expression of tumor necrosis factor-alpha (TNF-α) and interleukin-1 (IL-1) in antibody-treated CIA group, positive drug-treated CIA group, and IgG-treated CIA group were decreased (p<0.05).
Conclusion: The anti-RANKL monoclonal antibody can promote the therapeutic effect of RA rats, indicating that the anti-RANKL monoclonal antibody has a certain potential value and may be beneficial to the further study of the mechanism of RA treatment.
Introduction
Rheumatoid arthritis (RA), one of the most common autoimmune diseases, is a type of chronic bone inflammation, and its main symptoms include chronic synovitis of symmetrical joints and extra-articular changes.[1,2] The synovitis can induce primary and secondary systemic and/or local bone loss, such as bone and cartilage erosion and destruction.[3-5] To explore the pathogenesis of RA and develop new drugs to treat RA, researches have done a lot of work until now. Most importantly, non-steroidal anti-inflammatory drugs (NSAIDs), tetracycline antibiotics, adrenal corticosteroids, methotrexate (MTX), and specific agents come into sight and cover a large part of investigations.[6-10] These specific agents include tumor necrosis factor-alpha (TNF-α) blocking agents, inflammatory factors specific neutralizing antibodies interleukin (IL) 6, 17, and other quite promising therapeutic molecules which participant in anti-receptor activator of nuclear factor kappa B (κB) (RANK)-receptor activator of nuclear factor κB ligand (RANKL) signaling axis and Wnt signaling pathway.[11-14]
Metabolic balance in bone depends on the coordinated function of osteoclasts and osteoblasts, which is the basis of bone reconstruction process.[15-17] If this balance is broken, there would be various pathological changes.[18] The increased proportion of osteoclasts in RA patients is considered as an important factor for bone and joint damage. Osteoblasts and osteoclasts are modulated by an important signal transduction system named RANKL-RANK-osteoprotegerin (OPG) signaling pathway.[19-22] The OPG is regarded as a soluble RANKL receptor which competitively inhibits its binding to RANK on the membranes of osteoclast precursor cells or mature osteoclasts. The interactions between these molecules modulate the differentiation and activation of osteoclast.[23] Most researchers believe that the differentiation and activation of osteoclasts are regulated by RANKL/OPG ratio, and the increase of RANKL leads to pathological changes of RA, such as the form of bone erosion.[24] Moreover, upregulating RANKL expression can carry out the function of many factors such as IL-1, IL-6, IL-11, IL-17, TNF-α and parathyroid hormone (PTH).[25]
Based on further understanding of RANKL-RANK-OPG signaling system, the following methods for RA treatment may be theoretically advisable. First, OPG overexpression or exogenous OPG blocks signal transduction. Second, the silencing of signal transduction in osteoclasts inhibits osteoclast differentiation. Third, RANKL level is reduced by inhibiting other factors such as TNF-α and IL-17. Finally, anti-RANKL antibody is used to inhibit the downstream signal of RANK. Currently, AMG162 developed by the Amgen Corporation, which is a fully human monoclonal antibody in the form of the immunoglobulin G 2 (IgG2) subtype Ig with high elective affinity, was approved by the United States Food and Drug Administration (FDA) in June 2nd, 2010, and is used to treat osteoporosis. The relationship between pharmacokinetics and dose is non-linear, which is similar to the other fully human monoclonal antibodies. The clinical trials showed that its effects were rapid and lasting, while the function in inhibiting osteoclast and bone reabsorption was reversible.[26-28] In the treatment of postmenopausal osteoporosis, compared to bisphosphonates, bone mineral density increased significantly and the incidence of vertebral fracture, non-vertebral fracture and pelvic fracture decreased. Moreover, no additional side effects were observed compared to the placebo group, and some studies showed it was more effective than OPG and alendronic acid.[26-28]
In this study, based on the background knowledge, anti-RANKL monoclonal antibody was prepared, and its effect on RA animal model (collagen-induced arthritis [CIA] rat model) was investigated to find a new effective drug for treating RA.
Patients and Methods
Construction of rat CIA model
After taking Ethics Committee approval from the Fourth Medical Center of PLA General Hospital, a total of 200 mL cattle type II collagen (Sigma, St. Louis, MO, USA) was injected into inbred male Wistar rats weighting 230±10 g (Haidian, Beijing Xinglong Experimental Animal Farm, China) to construct CIA rat model. After dissolved in 0.01 M acetic acid (2 mg/mL) and emulsified at 1:1 in Freund’s incomplete adjuvant (FIA) (Chondrex, Redmond, WA, USA) on ice, cattle II type collagen was intradermally injected to rat through tail vein to prepare the CIA model. This study was carried out in strict accordance with the recommendations of the Guidelines on the Care and Use of Laboratory Animals of the National Laboratory animal monitoring laboratory of the People’s Republic of China. In this study, the experimental animal research was also conducted in accordance with the Animal Research: Reporting of In Vivo Experiments (ARRIVE) guidelines. The experiment was approved by the animal center without specific pathogen animal protection plan and approved by Animal Ethics Committee of our Hospital (License No.: SYXK (Peking) 2008-0008). Wistar male rats were adapted to local animal facilities (temperature: 24°C to 28°C, humidity: 60%) without certain pathogenic conditions. All rats were free to drink water and meals.
Synthesis of the anti-RANKL monoclonal antibody and RANKL gene: The total ribonucleic acid (RNA) was extracted from lymphoid tissue of Wistar rats, and the synthesized complementary deoxyribonucleic acid (cDNA) were used in reverse transcription-polymerase chain reaction (RT-PCR). Using the synthesized cDNA as the template, the primers had the PCR response to Urrkl/Drrkl according to the reaction system and conditions,[16-18] for amplifying the RANKL gene. The TRIZOL was bought from Invitrogen (Carlsbad, CA, USA). Huada Power-mLV reverse Transcriptase (RNASE H) and T4 Ligase (350 U/μL) were purchased from TaKaRa (Takara Bio USA, Inc. San Jose, CA, USA). Plasmid extraction kits and gel recycling kits were bought from Genstar company (USA). Freund's incomplete adjuvant (FIA) and Freund's complete adjuvant (FCA) were bought from Chondrex (Redmond, WA, USA). Bacille Calmette-Guérin (BCG) was provided by Beijing Biological Product Quality Inspection, China. Other chemical reagents were bought from Sigma (St. Louis, MO, USA). Taq enzyme (5 U/μL) and dNTP (2.5 mM) were purchased from TRANS company, USA. The RNA concentration and quality were measured by ultraviolet (UV) spectrophotometer (Jasco Inc., Tokyo, Japan) and agarose gel electrophoresis separately.
TA cloning of the RANKL gene and sequence analysis: The PCR products were recovered by gel. Proper TA cloning connection reaction system was established and, then, transform Escherichia coli (E.coli) Top10 at 42°C. Finally, the bacterial colony of resistance transformation was identified by PCR.
Synthesis of the anti-RANKL monoclonal antibodies: Three female BALB/c healthy rats aged eight to 12 weeks were chosen to immune with protein antigen R972-1-2-2 in the rapid immune way of rats. Spleen cells with the best immune response were picked and fused with myeloma cells (SP2/0) of rats. The fusion cells were diluted properly, and were put into 96-well plates to cultivate for 10 to 14 days. Then, cultured cells were detected by enzyme-linked immunosorbent assay (ELISA) and the cells with high optical density (OD) value were picked to subclone in 96-well plates. This step was repeated for several times, until the positive hole ratio was 100%. At that time, the cell line was successfully monoclonal. Then, the selected positive monoclonal cells were expanded and (1-2)x106 cells in each tube were frozen for future use. The phosphate buffer solution (PBS) of tetramethylbenzidine and hydrogen peroxide with 2 M sulfuric acid was added as the reaction terminated liquid. The absorbance of chromogenic products was detected at 450 nm wavelength. Meanwhile, the cells were collected for the preparation of ascites.
Ascites in the cell line was prepared by the method of abdominal inoculation in mice, and the ascites was collected from cells at culture of 10 to 14 days and detected by ELISA. The ascites was purified by protein G column and antigens affinity in protein antigen project and polypeptide antigen project, separately.
Treatment and division of experimental groups: The rats were randomly divided into five groups including the blank control group, the PBS-treated CIA group (the negative control), the dexamethasone-treated CIA group (0.5 mg/kg, the positive control), IgG-treated CIA group (2.5 mg/kg, the positive control), and the anti-RANKL monoclonal antibodytreated CIA group (2.5 mg/kg),[14,15] with 10 rats in each group. After the success of modeling, the groups of the test intervention were diluted to same volume with PBS as solvent. Drugs were given through intraperitoneal injection, the positive drug group (dexamethasone) was injected every other day and treated for 21 days. The IgG group and anti-RANKL monoclonal antibody group were injected every four days and treat for 24 days. The PBS with the same volume was given to the control group, and the dosage was as the same as the antibody intervention group.
Experimental protocols: Vernier caliper was used to measure the thickness of the fleshy joints of the toe joints of rats.[16] X-ray radiography was used to observe the change of foot joint rats before and after molding, respectively, under the condition of 60kV, 8mA and 0.05s. After anesthesia through intraperitoneal injection of 20% chloral hydrate (400 mg/kg), blood was obtained from aorta abdominal, and the foot joint tissue was dissected. The proximal toe and metatarsal joint were fixed in 20% formaldehyde solution for three days and, then, placed in 5% ethylenediaminetetraacetic acid (EDTA) liquid to decalcify for 50 days (liquid was changed every five days). Furthermore, after paraffin embedding, slicing and hematoxylin-eosin (HE) staining, the samples were observed under microscope (Olympus, Tokyo, Japan).
Statistical analysis
Statistical analysis was performed using the SPSS version 13.0 software (SPSS Inc., Chicago, IL, USA). Descriptive data were presented in mean ± standard deviation (SD). One-way analysis of variance (ANOVA) was used to detect the differences in changes between the groups of different treatments after establishing whether the data were normally distributed and equivalency of variances. A p value of <0.05 was considered statistically significant.
Results
RNA isolation, PCR reaction, and TA cloning of RANKL gene: The RNA concentration and quality were measured by UV spectrophotometer and agarose gel electrophoresis, separately. As shown in Figure 1a, total RNA was successfully extracted. The RANKL gene PCR electrophoresis with 2 μL cDNA (Lane 2) and 3 μL cDNA (Lane 3) were better than the other one (Figure 1b). The PCR products were recovered by gel, and the results are shown in Figure 1c. The number of T-RANKL I02, I04, I09 and II03 were positive clones, and further sequence analysis were also carried out.
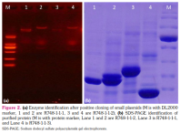
Preparation of anti-RANKL monoclonal antibodies: Figure 2a showed that R748-1-1-1 (Lane 1) and R748-1-1-2 (Lane 2) anti-RANKL monoclonal antibodies had more colony PCR products, and after Ni-NTF purification, R748-1-1-3 was defeated (Figure 2b). Table 1 shows that the R748-1-1-1 antigen molecular weight is 31.73 kDa with 68% purity and R748-1-1-2 antigen molecular weight is 28.1 kDa with 54% purity.
The base situation changes of rats treated with anti-RANKL monoclonal antibodies
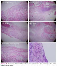
After six to seven days of CIA modeling, the hind paws of the rats begun to appear red and swollen, and the swelling degree and the foot volume were gradually increased. As the time was extended to 17 to 20 days, the hind paws of the rats in the modeling group were usually swollen with varying degrees. Some of the rats had swelling in the front paws. Lasting about 30 days, swelling gradually subsided, with the stiff hind paws joint, the rough local skin and the increased skin temperature (Figure 3a). The results of X-ray at 21 days indicated that the hind paws of rats displayed obvious soft tissue swelling, and joint gap stenosis (Figure 3b). However, the soft tissue swelling of the hind paws, the joint thickening, the narrowed joint gap, and the blurred edge of the bone joint were mild, and subsided rapidly in the dexamethasone group and the anti-RANKL monoclonal antibody group (Figure 3b).
Pathological changes of rats treated with anti-RANKL monoclonal antibodies: As shown in Figure 4, joint organizations of different groups had synovial hyperplasia of fibrous tissue, cartilage and bone destruction in different degrees. The structural of synovial joints of rats in normal control group were complete, and displayed joint clearance, articular cartilage surface integrity and regular cell arrangement. Besides, there was obvious synovial tissue hyperplasia, inflammatory cells infiltration, fibrous tissue hyperplasia and pannus formation in CIA rats. After treatment with anti-RANKL monoclonal antibody, the above pathological changes improved to normal.
TNF-α and IL-1 concentration changes in serum of rats treated with anti-RANKL monoclonal antibodies: Compared to the normal rats (1.73 ng/mL), the concentration of TNF-α in serum of PBS-treated CIA rats was increased (2.82 ng/mL). Meanwhile, the level of TNF-α in antibody-treated CIA group, positive drug-treated CIA group and IgG-treated CIA group were significantly decreased, compared to the normal control and PBS groups (p<0.05). The concentration of IL-1 in serum of normal rats was 1.98 ng/mL and increased to 3.47 ng/mL in PBS-treated CIA rats. Moreover, the IL-1 expression level was heavily decreased in antibody-treated CIA group, positive drug-treated CIA group and IgG-treated CIA group compared to PBS-treated control, and there were significant differences between different groups (Table 2).
Discussion
According to the previous research, successful modeling refers to chronic progressive symmetry with peripheral arthritis and systemic symptoms.[26-28] The pathological manifestations are typical proliferative synovitis, accompanied by cartilage and bone destruction, and osteoporosis, multiple articular cartilage destruction, bone destruction, joint gap narrowing and joint destruction can be seen following imaging evaluation. Based on this, in this study, joint symptoms usually first appeared in jaws and gradually spread to claws. The peak of inflammation in hind legs appeared about 20 days after primary immunization, indicating that the CIA model was successfully constructed.
This study confirmed the effect of anti-RANKL monoclonal antibody on RA, and clarified its new intracellular effector molecules, as one of the effective new drugs for the treatment of RA. The anti-RANKL monoclonal antibody was stably prepared by hybridoma technology. The results showed that the specificity of the prepared antibody was high. The modeling method of improved collagen to induce arthritis in rats could improve the rate of modeling success. In addition, animal experiments showed that the antibody had better curative effect on arthritis than other control groups. The experimental designs of monoclonal antibody did not solve the existing outstanding problem from the perspective of biomedicine. However, as an independently developed monoclonal antibody, it is effective in animal experiments. The further purification of antibody and the necessary modification of its structure provide a basis for further drug development. For two different functional domains of RANKL protein, it is possible to explore the molecular regulation mechanism of cells.
To the best of our knowledge, TNF-α is a biologically active cytokine with various effects, which can lead to apoptosis, cell proliferation and differentiation, and promote inflammatory response and immune regulation. It plays a key role in the pathogenesis of RA. Both TNF-α and TNF receptor interact and cause inflammation and bone joint injury through a complex cascade of signals and network. The drug targeted by TNF-α has been developed and applied to the clinical treatment of RA. It is safe and effective to reduce inflammatory reaction by blocking signal transduction induced by TNF-α. In this study, we found that anti-RANKL monoclonal antibody could reduce the expression level of tumor necrosis factor-α and Il-6, indicating that the immune response of RA rats increases.
The discovery and characterization of cytokine receptor-cytokine-bait receptor triplet formed by RANK-OPG not only made great progress in understanding the biology of bone environmental stability, but also made researchers have a clear understanding of the key regulatory relationship between bone and immunity, leading to the emergence of a new field of bone immunology.[29] The RANKL-RANK-OPG are members of TNF and TNF receptor superfamilies, and share signaling characteristics similar to many members of each. The developmental regulation and cell type-specific expression patterns of these factors reveal the key regulatory functions of RANKL-RANK-OPG in bone homeostasis, organogenesis, immune tolerance, and tumorigenesis. Successful efforts at designing and developing therapeutic agents targeting RANKL-RANK-OPG have been undertaken for osteoporosis, and additional efforts are underway for other conditions.
However, there are still some shortcomings in treating RA with monoclonal antibodies, such as human anti-mouse antibody reaction, difficulty in reaching target cells, and high cost. To overcome these shortcomings, the use of genetic engineering technology and the production of artificial antibodies have been accepted by many researchers.[30-33] The application of singlechain antibody (single chain antibody or single chain antigen binding protein, SCA) has many advantages, such as low immunogenicity, difficult to induce human anti-foreign protein reaction, easy access to micro-circulation around the solid tumor, fast blood circulation and systemic clearance, short half-life, less renal accumulation, easy process through genetic method and mass production using gene engineering technology. In addition, single-chain antibodies also can combine with toxins, pro-drug converting enzyme, radioisotope, cytokine and other effecting molecules to construct a variety of bi-functional antibody molecules. In addition, single chain antibody is also an ideal component to construct bispecific antibody.[34-36]
The RANKL is an important factor in regulating osteoclast differentiation. Monoclonal antibodies could inhibit RANKL activity, thereby reducing the osteolytic effects of RA. Therefore, the treatment of RA using anti-RANKL monoclonal antibodies in this study has a positive meaning. During this period, no relevant research results were published, and this article is novel. The anti-RANKL monoclonal antibody group has a good therapeutic effect on RA. However, more experiments are still needed to clarify its mechanism.
Citation: Lv D, Zhao X. Evaluation of the anti-RANKL monoclonal antibody in rheumatoid arthritis rats. Arch Rheumatol 2023;38(1):22-31.
The approval of the study obtained the Ethics Committee of the Fourth Medical Center of PLA General Hospital (date: 20.07.2009, no: 0990). The study was conducted in accordance with the principles of the Declaration of Helsinki.
Data Sharing Statement:
The data that support the findings of this study are available from the corresponding author upon reasonable request.
Guarantor of integrity of the entire study, study concepts, study design, definition of intellectual content, clinical studies, experimental studies, data acquisition, data analysis, statistical analysis, manuscript preparation, manuscript editing: D.L.V.; Literature research: D.L.V., X.Z.
The authors declared no conflicts of interest with respect to the authorship and/or publication of this article.
This study was supported by the National Natural Science Foundation of China (no. 61335011 & 31300691).
References
- Suzuki T, Yoshida R, Hidaka Y, Seri Y. Proliferative synovitis of the shoulder bursae is a key feature for discriminating elderly onset rheumatoid arthritis mimicking polymyalgia rheumatica from polymyalgia rheumatica. Clin Med Insights Arthritis Musculoskelet Disord 2017;10:1179544117745851. DOI: 10.1177/1179544117745851
- Lac P, Saunders S, Tutunea-Fatan E, Barra L, Bell DA, Cairns E. Immune responses to peptides containing homocitrulline or citrulline in the DR4- transgenic mouse model of rheumatoid arthritis. J Autoimmun 2018;89:75-81. DOI: 10.1016/j.jaut.2017.12.002
- Feehan LM, Li LL, McKay HA. Micro-structural bone changes in early rheumatoid arthritis persist over 1-year despite use of disease modifying antirheumatic drug therapy. BMC Musculoskelet Disord 2017;18:521. DOI: 10.1186/s12891-017-1888-3
- Jutley GS, Latif ZP, Raza K. Symptoms in individuals at risk of rheumatoid arthritis. Best Pract Res Clin Rheumatol 2017;31:59-70. DOI: 10.1016/j.berh.2017.09.016
- Boyce BF, Yao Z, Xing L. Osteoclasts have multiple roles in bone in addition to bone resorption. Crit Rev Eukaryot Gene Expr 2009;19:171-80. DOI: 10.1615/CritRevEukarGeneExpr.v19.i3.10
- Wailoo A, Hock ES, Stevenson M, Martyn-St James M, Rawdin A, Simpson E, et al. The clinical effectiveness and cost-effectiveness of treat-to-target strategies in rheumatoid arthritis: A systematic review and cost-effectiveness analysis. Health Technol Assess 2017;21:1-258. DOI: 10.3310/hta21710
- Yu Wang, Shengqian Xu. Research on the correlation between RANKL/RANK/OPG system and ankylosing spondylitis. J Med Res 2010;39:117-20.
- Aghaloo TL, Felsenfeld AL, Tetradis S. Osteonecrosis of the jaw in a patient on Denosumab. J Oral Maxillofac Surg 2010;68:959-63. DOI: 10.1016/j.joms.2009.10.010
- Lewiecki EM. Treatment of osteoporosis with denosumab. Maturitas 2010;66:182-6. DOI: 10.1016/j.maturitas.2010.02.008
- Judge A, Garriga C, Arden NK, Lovestone S, PrietoAlhambra D, Cooper C, et al. Protective effect of antirheumatic drugs on dementia in rheumatoid arthritis patients. Alzheimers Dement (N Y) 2017;3:612-21. DOI: 10.1016/j.trci.2017.10.002
- Naidu VG, Dinesh Babu KR, Thwin MM, Satish RL, Kumar PV, Gopalakrishnakone P. RANKL targeted peptides inhibit osteoclastogenesis and attenuate adjuvant induced arthritis by inhibiting NF-kB activation and down regulating inflammatory cytokines. Chem Biol Interact 2013;203:467-79. DOI: 10.1016/j.cbi.2012.12.016
- Xiao J, Liu ZS, Liu Z. Experimental study of application of Anti-glomerular basement membrane antibodies neutralizing monoclonal antibody on Anti-glomerular basement Mem-brane Nephritis Rats. Chin J Nephrol 2010;26:708-13.
- Xi L, Fu-ling S, Ai-jing L. Effect of thalidomide on inflammatory factor expression in rats with collagen induced arthritis. Chinese Journal of Tissue Engineering Research 2010;14:3666-8.
- Kim D, Shu S, Coppola MD, Kaneko S, Yuan ZQ, Cheng JQ. Regulation of proapoptotic mammalian ste20-like kinase MST2 by the IGF1-Akt pathway. PLoS One 2010;5:e9616. DOI: 10.1371/journal.pone.0009616
- Knowles HJ. Hypoxic regulation of osteoclast differentiation and bone resorption activity. Hypoxia (Auckl) 2015;3:73-82. DOI: 10.2147/HP.S95960
- Bugatti S, Codullo V, Caporali R, Montecucco C. B cells in rheumatoid arthritis. Autoimmun Rev 2007;6:482-7. DOI: 10.1016/j.autrev.2007.02.008
- Vaira S, Alhawagri M, Anwisye I, Kitaura H, Faccio R, Novack DV. RelA/p65 promotes osteoclast differentiation by blocking a RANKL-induced apoptotic JNK pathway in mice. J Clin Invest 2008;118:2088-97. DOI: 10.1172/JCI33392
- Crotti TN, Dharmapatni AA, Alias E, Haynes DR. Osteoimmunology: Major and costimulatory pathway expression associated with chronic inflammatory induced bone loss. J Immunol Res 2015;2015:281287. DOI: 10.1155/2015/281287
- Hayden MS, Ghosh S. Signaling to NF-kappaB. Genes Dev 2004;18:2195-224. DOI: 10.1101/gad.1228704
- Wang L, Jiang X, Yu L, Hu X, Wang H, Ouyang J, et al. LPS induces cell proliferation through overexpression of NF-k-B. Chin J Pathophysiol 2010;26:1217-20.
- Tang CH, Chuang JY, Fong YC, Maa MC, Way TD, Hung CH. Bone-derived SDF-1 stimulates IL-6 release via CXCR4, ERK and NF-kappaB pathways and promotes osteoclastogenesis in human oral cancer cells. Carcinogenesis 2008;29:1483-92. DOI: 10.1093/carcin/bgn045
- Yuasa T, Otani T, Koike T, Iwamoto M, EnomotoIwamoto M. Wnt/beta-catenin signaling stimulates matrix catabolic genes and activity in articular chondrocytes: Its possible role in joint degeneration. Lab Invest 2008;88:264-74. DOI: 10.1038/labinvest.3700747
- Little CB, Meeker CT, Golub SB, Lawlor KE, Farmer PJ, Smith SM, et al. Blocking aggrecanase cleavage in the aggrecan interglobular domain abrogates cartilage erosion and promotes cartilage repair. J Clin Invest 2007;117:1627-36. DOI: 10.1172/JCI30765
- Alcamo E, Mizgerd JP, Horwitz BH, Bronson R, Beg AA, Scott M, et al. Targeted mutation of TNF receptor I rescues the RelA-deficient mouse and reveals a critical role for NF-kappa B in leukocyte recruitment. J Immunol 2001;167:1592-600. DOI: 10.4049/jimmunol.167.3.1592
- Zhang L, Liu J, Liu Y, Qu X. ERK involved in ranklinduced breast cancer cell migration. Mod Oncol 2010;18:1051-54.
- Liu G, Ma C, Wang P, Zhang P, Qu X, Liu S, et al. Pilose antler peptide potentiates osteoblast differentiation and inhibits osteoclastogenesis via manipulating the NF-kB pathway. Biochem Biophys Res Commun 2017;491:388-95. DOI: 10.1016/j.bbrc.2017.07.091
- He X, Andersson G, Lindgren U, Li Y. Resveratrol prevents RANKL-induced osteoclast differentiation of murine osteoclast progenitor RAW 264.7 cells through inhibition of ROS production. Biochem Biophys Res Commun 2010;401:356-62. DOI: 10.1016/j.bbrc.2010.09.053
- Zhu M, Chen M, Zuscik M, Wu Q, Wang YJ, Rosier RN, et al. Inhibition of beta-catenin signaling in articular chondrocytes results in articular cartilage destruction. Arthritis Rheum 2008;58:2053-64. DOI: 10.1002/art.23614
- Hairul-Islam MI, Saravanan S, Thirugnanasambantham K, Chellappandian M, Simon Durai Raj C, Karikalan K, et al. Swertiamarin, a natural steroid, prevent bone erosion by modulating RANKL/RANK/OPG signaling. Int Immunopharmacol 2017;53:114-24. DOI: 10.1016/j.intimp.2017.10.022
- Pál I, Szamosi S, Hodosi K, Szekanecz Z, Váróczy L. Effect of Fcg-receptor 3a (FCGR3A) gene polymorphisms on rituximab therapy in Hungarian patients with rheumatoid arthritis. RMD Open 2017;3:e000485. DOI: 10.1136/rmdopen-2017-000485
- Kalden JR, Schulze-Koops H. Immunogenicity and loss of response to TNF inhibitors: Implications for rheumatoid arthritis treatment. Nat Rev Rheumatol 2017;13:707-18. DOI: 10.1038/nrrheum.2017.187
- Du FH, Mills EA, Mao-Draayer Y. Next-generation anti-CD20 monoclonal antibodies in autoimmune disease treatment. Auto Immun Highlights 2017;8:12. DOI: 10.1007/s13317-017-0100-y
- Yang J, Peng B. Correlation between the Expression of c-Fos and Rankl in Induced Peri-apical Lesions in Rats. J Oral Sci Res 2010;26:359-61.
- Jahid M, Rehan-Ul-Haq, Chawla D, Avasthi R, Ahmed RS. Association of polymorphic variants in IL1B gene with secretion of IL-1b protein and inflammatory markers in north Indian rheumatoid arthritis patients. Gene 2018;641:63-7. DOI: 10.1016/j.gene.2017.10.051
- Ohmura K. Is rheumatoid arthritis without anticitrullinated peptide antibody a genetically distinct subset? Nihon Rinsho Meneki Gakkai Kaishi 2009;32:484-91. DOI: 10.2177/jsci.32.484
- Kinslow JD, Blum LK, Deane KD, Demoruelle MK, Okamoto Y, Parish MC, et al. Elevated IgA plasmablast levels in subjects at risk of developing rheumatoid arthritis. Arthritis Rheumatol 2016;68:2372-83. DOI: 10.1002/art.39771
