Granuloma annulare is a benign, inflammatory, noninfectious, granulomatous skin disorder characterized by variable clinical presentations, including papular, subcutaneous, patch (macular form), and central perforating forms.[1] Although the pathogenesis of granuloma annulare is not clarified, it has been proposed to be associated with diabetes mellitus, autoimmune thyroid diseases, dyslipidemia, various malignancies, and connective tissue diseases.[1] Herein, we present a case of granuloma annulare in association with Sjögren’s syndrome.
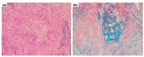
A 48-year-old female was referred to us due to asymptomatic plaques on the left dorsal foot, left knee, and left inner thigh. The lesions had started in the form of small macules three years ago. In detailed history, the patient complained of swelling and pain of the fingers and dry mouth and eyes for several years before the skin rash. The patient had never consulted a physician with these complaints before. Dermatological examination of the lesions revealed well-demarcated, pale-pink, polycyclic, serpiginous plaques involving the left dorsal foot, inner thigh, and knee (Figure 1). Potassium hydroxide examination did not show any fungal hyphae or yeast. Our prediagnoses were subacute cutaneous lupus erythematosus, plaque psoriasis, and granuloma annulare. A 4-mm punch biopsy was obtained from the knee, which revealed orthohyperkeratosis, acanthosis, interstitial lymphohistiocytic cells, granulomas composed of coarse and degenerated collagen bundles in the dermis, and mucin deposition in the center of granulomas, compatible with palisading granuloma-type granuloma annulare (Figure 2). Fasting glucose, thyroid, liver, and kidney function tests were all within normal limits. Antinuclear antibody was positive at a titer of 1/160 with a speckled pattern. Anti-SSA antibody and Schirmer tests were also positive. Since the patient had ophthalmic manifestation (persistent eye dryness for more than three months), oral manifestation (mouth dryness for more than three months), positive Schirmer test, and anti-SSA positivity, she was diagnosed with Sjögren’s syndrome by rheumatologists according to the proposed criteria.[2]
Granuloma annulare is a poorly understood condition characterized by variable clinical presentations with two predominant histopathologic patterns: palisading and interstitial granulomatous inflammation. It is often encountered in the localized form, limited to the hands and feet, but photodistributed or generalized forms are also described.[1] Although granuloma annulare has a benign and self-limiting course, it is potentially connected to variable systemic diseases.[3-6] Sjögren’s syndrome, dermatomyositis, morphea, and systemic sclerosis are some of the connective tissue diseases reported to be associated with granuloma annulare.[3-6] Granuloma annulare and Sjögren’s syndrome coexistence is described in localized form with the interstitial histopathological type. The current case is distinctive from other cases reported in the literature since palisading granulomatous inflammation was histopathologically demonstrated in our patient’s skin biopsy. The patient, who had joint complaints for many years, was diagnosed with Sjögren’s syndrome after detailed questioning for granuloma annulare. Consequently, dermatologists should keep in mind the relationship between granuloma annulare and connective tissue diseases, including Sjögren’s syndrome.
